Anti-Bcl-6 (Follicular Lymphoma Marker) Recombinant Rabbit Monoclonal Antibody (Clone:BCL6/1951R)

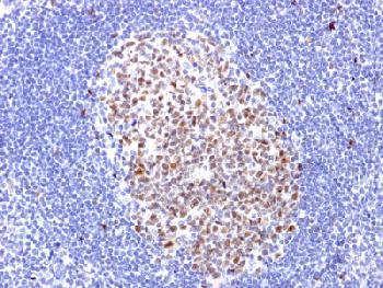
Figure 1: Formalin-fixed, paraffin-embedded human Tonsil stained with Bcl-6 Rabbit Recombinant Monoclonal Antibody (BCL6/1951R).
Roll over image to zoom in
Shipping Info:
For estimated delivery dates, please contact us at [email protected]
Format : | Purified |
Amount : | 100 µg |
Purification : | Protein A/G |
Content : | 200µg/ml of recombinant MAb purified by Protein A/G. Prepared in 10mM PBS with 0.05% BSA & 0.05% azide. Also available WITHOUT BSA & azide at 1.0mg/ml. |
Storage condition : | Antibody with azide - store at 2 to 8°C. Antibody without azide - store at -20 to -80°C. Antibody is stable for 24 months. Non-hazardous. |
Gene : | BCL6 |
Gene ID : | 604 |
Uniprot ID : | P41182 |
Alternative Name : | B-cell lymphoma 5 protein; B-Cell Lymphoma 6 Protein; BCL5; BCL6; BCL6A; cys his2 zinc finger transcription factor; Lymphoma Associated Zinc Finger Gene On Chromosome 3 (LAZ3); Zinc finger and BTB domain-containing protein 27 (ZBTB27); Zinc Finger Protein 51 (ZNF51); zinc finger transcription factor BCL6S |
Immunogen Information : | Recombinant fragment of human bcl-6 protein (around aa 256-389) (exact sequence is proprietary) |
Recognizes a protein of 95kDa, which is identified as Bcl-6. Antibody to bcl-6 is helpful in a number of diagnostic settings: (1) In the differential diagnosis of small B-cell lymphoma. Follicular lymphoma will show bcl-6 (and CD10) positivity whereas other small B-cell lymphomas are usually negative. (2) Bcl-6 is an important prognostic marker in diffuse large B-cell lymphomas (DLBCL), where CD10, bcl-6 and MUM1/IRF4 are used to identify germinal center and activated B-cell phenotypes. (3) Bcl-6 can be valuable in distinguishing classical Hodgkin lymphoma from nodular lymphocyte predominant Hodgkin lymphoma (NLPHL). The Reed-Sternberg cells of classical Hodgkin lymphoma are bcl-6 negative whereas the large ( L&H ) cells of NLPHL are bcl-6 positive. In contrast, anti-Bcl-6 rarely stains mantle-cell lymphoma and MALT lymphoma.
Subcellular location: | Nucleus |
Post transnational modification: | Acetylated at Lys-379 by EP300 which inhibits the interaction with NuRD complex and the transcriptional repressor function. Deacetylated by HDAC- and SIR2-dependent pathways. |
Tissue Specificity: | Expressed in germinal center T- and B-cells and in primary immature dendritic cells. |
BioGrid: | 107076. 119 interactions. |
There are currently no product reviews
|