Anti-LIME Polyclonal Antibody

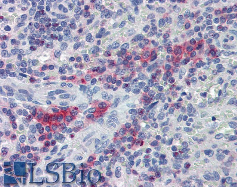
Figure 1: Immunohistochemistry staining of human spleen (paraffin sections) with anti-LIME polyclonal antibody.
Roll over image to zoom in
Shipping Info:
For estimated delivery dates, please contact us at [email protected]
Format : | Purified |
Amount : | 0.1 mg |
Isotype : | Rabbit IgG |
Purification : | Purified from rabbit serum by precipitation methods |
Storage condition : | Store at 2-8°C. Do not freeze. |
LIME (Lck-interacting molecule) is a 30 kDa double-palmitoylated protein with unusually basic cytoplasmic domain, expressed by T cells. After ligation of CD4 or CD8 T cell coreceptors, LIME is phosphorylated by Src-family kinases and associates with Lck and Fyn kinases and with their negative regulator Csk. Interestingly, Csk-mediated phosphorylation of C-terminal negative-regulatory tyrosine of LIME-associated Lck can result in increase of enzymatic activity compared with the total pool of Lck, thus, LIME serves as a positive regulator of TCR-dependent T cell signaling. However, under some circumstances, LIME may mediate inhibitory signals.
Subcellular location: | Cell membrane |
Post transnational modification: | Phosphorylated on tyrosines upon TCR activation and/or CD4 coreceptor stimulation, or upon BCR stimulation; which leads to the recruitment of SH2-containing proteins. |
Tissue Specificity: | Expressed in peripheral blood lymphocytes, lymphoid tissues, and liver. Present in T-cells and plasma cells, and in various hematopoietic cell lines (at protein level). |
BioGrid: | 120264. 4 interactions. |
There are currently no product reviews
|