Monoclonal Antibody to CD99 / MIC2 (Ewings Sarcoma Marker)(12E7.)

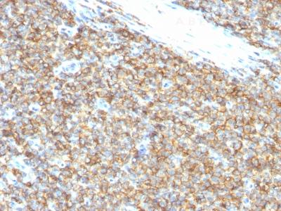
Formalin-fixed, paraffin-embedded human Ewing's Sarcoma stained with CD99 Monoclonal Antibody (12E7).
Roll over image to zoom in
Shipping Info:
For estimated delivery dates, please contact us at [email protected]
Format : | T.C. Sup. |
Amount : | 0.5 ml |
Isotype : | Mouse IgG1, kappa |
Content : | Tissue culture supernatant with 0.05% Azide. |
Storage condition : | Store the antibody at 4°C; stable for 6 months. For long-term storage; store at -20°C. Avoid repeated freeze and thaw cycles. |
Recognizes a sialoglycoprotein of 27-32kDa, identified as CD99, or MIC2 gene product, or E2 antigen. MIC2 gene is located in the pseudo-autosomal region of the human X and Y chromosome. MIC2 gene encodes two distinct proteins, which are produced by alternative splicing of the CD99 gene transcript and are identified as bands of 30 and 32kDa (p30/32). Although its function is not fully understood, CD99 is implicated in various cellular processes including homotypic aggregation of T cells, upregulation of T cell receptor and MHS molecules, apoptosis of immature thymocytes and leukocyte diapedesis. CD99 is expressed on the cell membrane of some lymphocytes, cortical thymocytes, and granulosa cells of the ovary. Most pancreatic islet cells, Sertoli cells of the testis, and some endothelial cells express this antigen. Mature granulocytes express very little or no CD99. MIC2 is strongly expressed on Ewing s sarcoma cells and primitive peripheral neuroectodermal tumors.
Flow Cytometry (5-10ul/million cells); Immunofluorescence (1:50-1:100); Immunohistochemistry (Formalin-fixed) (1:50-1:100 for 30 minutes at RT)(Staining of formalin-fixed tissues requires heating tissue sections in 10mM Tris with 1mM EDTA, pH 9.0, for 45 min at 95°C followed by cooling at RT for 20 minutes);
For Research Use Only. Not for use in diagnostic/therapeutics procedures.
Subcellular location: | Membrane |
Post transnational modification: | Extensively O-glycosylated. |
BioGrid: | 110420. 16 interactions. |
There are currently no product reviews
|