Monoclonal Antibody to Renal Cell Carcinoma (Clone: 66.4.C2)

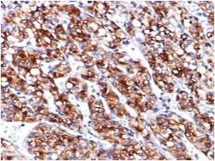
Fig: 1 Immunohistochemical analysis of RCC in human renal cell carcinoma using RCC antibody (Clone: 66.4.C2) at 1: 150 dilution.
Roll over image to zoom in
Shipping Info:
For estimated delivery dates, please contact us at [email protected]
Format : | Purified |
Amount : | 100 µg |
Isotype : | Mouse IgG2b, kappa |
Purification : | Protein G Chromatography |
Content : | 25 µg in 50 µl/100 µg in 200 µl PBS containing 0.05% BSA and 0.05% sodium azide. Sodium azide is highly toxic. |
Storage condition : | Store the antibody at 4°C; stable for 6 months. For long-term storage; store at -20°C. Avoid repeated freeze and thaw cycles. |
Renal cell carcinoma (RCC) is a common form of kidney cancer.Firstly, renal cell carcinoma (RCC) may initially present as a metastatic lesion of an undetected primary tumor. Secondly, a late occurrence of renal cell carcinoma metastasis after nephrectomy can make it difficult to confirm renal origin. Thirdly, metastatic renal cell carcinoma has morphological similarities with various types of primary non-renal tumors thereby compounding typing challenges. In view of these issues, antibodies recognizing protein markers associated with a given cancer have become important tools for tumor classification
"Flow Cytometry (1-2ug/million cells), Immunofluorescence (1-2ug/ml), Western Blot (1-2ug/ml)
For Research Use Only. Not for use in diagnostic/therapeutics procedures.
Subcellular location: | Nucleus, Nucleus, Cell membrane, Cell projection |
Post transnational modification: | Asn-346 bears high-mannose type glycan structures. |
Tissue Specificity: | Expressed primarily in carcinoma cells lines. Expression is restricted to very few normal tissues and the most abundant expression is found in the epithelial cells of gastric mucosa. |
BioGrid: | 107223. 30 interactions. |
There are currently no product reviews
|