Anti-BG8 LewisY Monoclonal Antibody (Clone:IHC517)

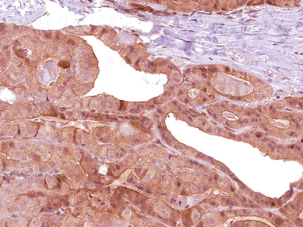
Figure 1: Immunohistochemical analysis of BG8, Lewisy (IHC517) on Thyroid Cancer
Roll over image to zoom in
Shipping Info:
For estimated delivery dates, please contact us at [email protected]
Format : | Purified |
Amount : | 1 ml |
Purification : | Protein A/G Chromatography |
Storage condition : | Store at 2°C - 8°C. |
BG8 LewisY, also known as LewisY blood antigen or simply BG8, is a blood group antigen that has been identified in many studies as a potential marker for differentiation between pulmonary adenocarcinoma (PACA) and epithelioid mesothelioma (EM). It has been reported that sensitivity of non-mesothelial antigens for adenocarcinoma is organ-dependent. When attempting to differentiate epithelioid mesothelioma from adenocarcinoma, BG8 LewisY performed at a sensitivity of 98% in the breast cancer group, and 100% in the lung cancer group.
Recommended dilutions: Immunohistochemical analysis: 1:100 - 1:200. However, this need to be optimized based on the research applications.
For Research Use Only. Not for use in diagnostic/therapeutics procedures.
There are currently no product reviews
|