Anti-CD27 (Tumor Necrosis Factor Receptor Superfamily 7) Recombinant Rabbit Monoclonal Antibody (Clone:LPFS2/2034R)

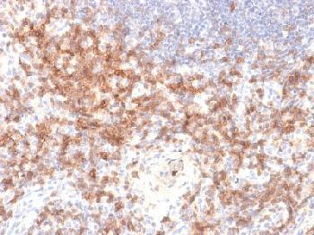
Figure 1: Formalin-fixed, paraffin-embedded human Lymph Node stained with CD27 Rabbit Recombinant Monoclonal Antibody (LPFS2/2034R).
Roll over image to zoom in
Shipping Info:
For estimated delivery dates, please contact us at [email protected]
Format : | Purified |
Amount : | 100 µg |
Isotype : | Rabbit IgG |
Purification : | Protein A/G |
Content : | 200µg/ml of recombinant MAb purified by Protein A/G. Prepared in 10mM PBS with 0.05% BSA & 0.05% azide. Also available WITHOUT BSA & azide at 1.0mg/ml. |
Storage condition : | Antibody with azide - store at 2 to 8°C. Antibody without azide - store at -20 to -80°C. Antibody is stable for 24 months. Non-hazardous. |
Gene : | CD27 |
Gene ID : | 939 |
Uniprot ID : | P26842 |
Alternative Name : | LPFS2; S152; T cell activation antigen S152; T-cell activation antigen CD27; T14; TNFRSF7; TNFSF7; Tp55; Tumor necrosis factor receptor superfamily member 7 |
Immunogen Information : | Recombinant human CD22 protein fragment (around aa 52-178) (exact sequence is proprietary) |
Recognizes a protein of a disulfide-linked 120kDa dimer, identified as CD27. It is expressed on the majority of peripheral T cells, medullary thymocytes, memory-type B cells, and natural killer cells. It is a transmembrane phosphoglycoprotein that belongs to the tumor necrosis factor receptor (TNFR) superfamily. CD27 binds to its ligand CD70, a member of the TNF family, and induces T-cell co-stimulation and B-cell activation. It also interacts with TRAFs and is involved in activation of NFkB and SAPK/JNK and induces apoptosis.
Immunohistochemistry (Formalin-fixed) (1-2µg/ml for 30 minutes at RT)(Staining of formalin-fixed tissues requires heating tissue sections in 10mM Tris buffer with 1mM EDTA, pH 9.0, for 45 min at 95°C followed by cooling at RT for 20 minutes)
For Research Use Only. Not for use in diagnostic/therapeutics procedures.
Subcellular location: | Membrane |
Post transnational modification: | O-glycosylated with core 1 or possibly core 8 glycans. |
Tissue Specificity: | Found in most T-lymphocytes. |
BioGrid: | 107377. 32 interactions. |
There are currently no product reviews
|