Anti-CD45 antibody(7E1), IgG1 Chimeric mAb

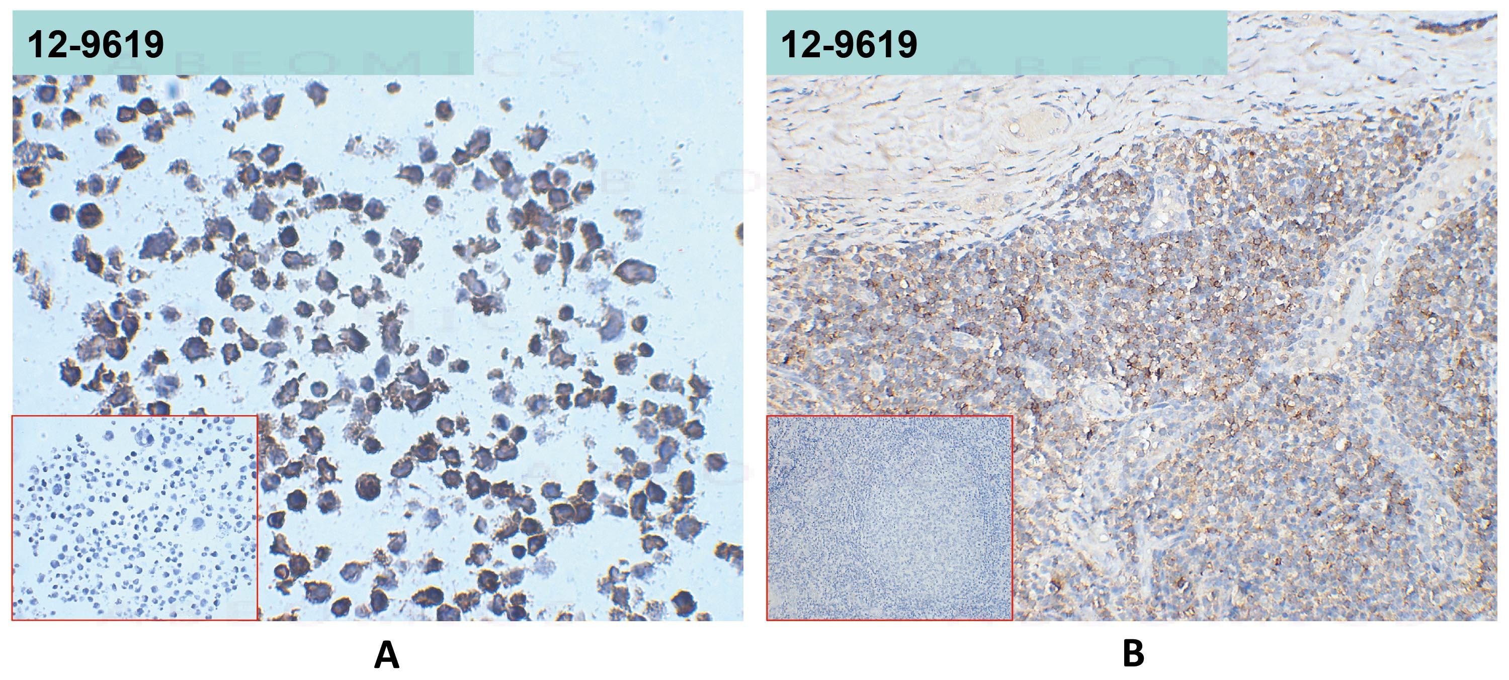
Figure 1. A. 12-9619 at 10µg/ml staining CD45 in Hut78 cells by IHC (Cat# 12-9619);B. 12-9619 at 10µg/ml staining CD45 in human tonsil tissue by IHC (Cat# 12-9619)
Roll over image to zoom in
Shipping Info:
For estimated delivery dates, please contact us at [email protected]
Amount : | 100 μg |
Isotype : | Rabbit/Human Fc chimeric IgG1 |
Purification : | Purified from cell culture supernatant by affinity chromatography |
Content : | Lyophilized from sterile PBS, pH 7.4. Normally 5 % - 8% trehalose is added as protectants before lyophilization. Please see Certificate of Analysis for specific instructions of reconstitution. |
Storage condition : | Store at -20°C to -80°C for 12 months in lyophilized form. After reconstitution, if not intended for use within a month, aliquot and store at -80°C (Avoid repeated freezing and thawing). Lyophilized proteins are shipped at ambient temperature. |
Gene : | CD45 |
Uniprot ID : | P08575 |
Alternative Name : | B220; CD45; CD45R; GP180; L-CA; LCA; LY5; T200 |
The protein encoded by this gene is a member of the protein tyrosine phosphatase (PTP) family. PTPs are known to be signaling molecules that regulate a variety of cellular processes including cell growth; differentiation; mitosis; and oncogenic transformation. This PTP contains an extracellular domain; a single transmembrane segment and two tandem intracytoplasmic catalytic domains; and thus is classified as a receptor type PTP. This PTP has been shown to be an essential regulator of T- and B-cell antigen receptor signaling. It functions through either direct interaction with components of the antigen receptor complexes; or by activating various Src family kinases required for the antigen receptor signaling. This PTP also suppresses JAK kinases; and thus functions as a regulator of cytokine receptor signaling. Alternatively spliced transcripts variants of this gene; which encode distinct isoforms; have been reported.
IHC 1:100
For Research Use Only. Not for use in diagnostic/therapeutics procedures.
There are currently no product reviews
|