Anti-CD45 / LCA (Leucocyte Marker) Monoclonal Antibody(Clone: SPM569 + SPM570)-FITC

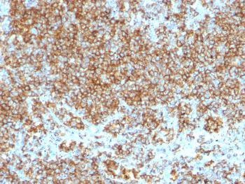
Fig. 1: Formalin-fixed, paraffin-embedded human Lymphoma stained with CD45 Monoclonal Antibody (SPM569+SPM570).
Roll over image to zoom in
Shipping Info:
For estimated delivery dates, please contact us at [email protected]
Amount : | 0.5 ml at 100µg/ml |
Isotype : | Mouse IgG1, kappa + Mouse IgG1, kappa |
Content : | 200 µg/ml of Ab Purified from Bioreactor Concentrate by Protein A/G. Prepared in 10mM PBS with 0.05% BSA & 0.05% azide. Also available WITHOUT BSA & azide at 1.0mg/ml. |
Storage condition : | Antibody with azide - store at 4 to 8°C. Antibody is stable for 24 months. Non-hazardous. |
Gene : | PTPRC |
Gene ID : | 5788 |
Uniprot ID : | P08575 |
Alternative Name : | B220, CD45R, GP180, Leukocyte common antigen (LCA), Loc, Ly-5, Lyt-4, Protein tyrosine phosphatase receptor type C (PTPRC), Receptor-type tyrosine-protein phosphatase C, T200 glycoprotein |
Immunogen Information : | Human B- and T-lymphoma cells |
Flow Cytometry (1-2ug/million cells); Immunofluorescence (1-2ug/ml); Western Blot (1-2ug/ml); Immunohistochemistry (Formalin-fixed) (1-2ug/ml for 30 minutes at RT)(Staining of formalin-fixed tissues requires heating tissue sections in 10mM Tris with 1mM EDTA, pH 9.0, for 45 min at 95°C followed by cooling at RT for 20 minutes);
For Research Use Only. Not for use in diagnostic/therapeutics procedures.
There are currently no product reviews
|