Anti-CD45 (LCA) Monoclonal Antibody (Clone:IHC045)-Ready to Use(Discontinued)

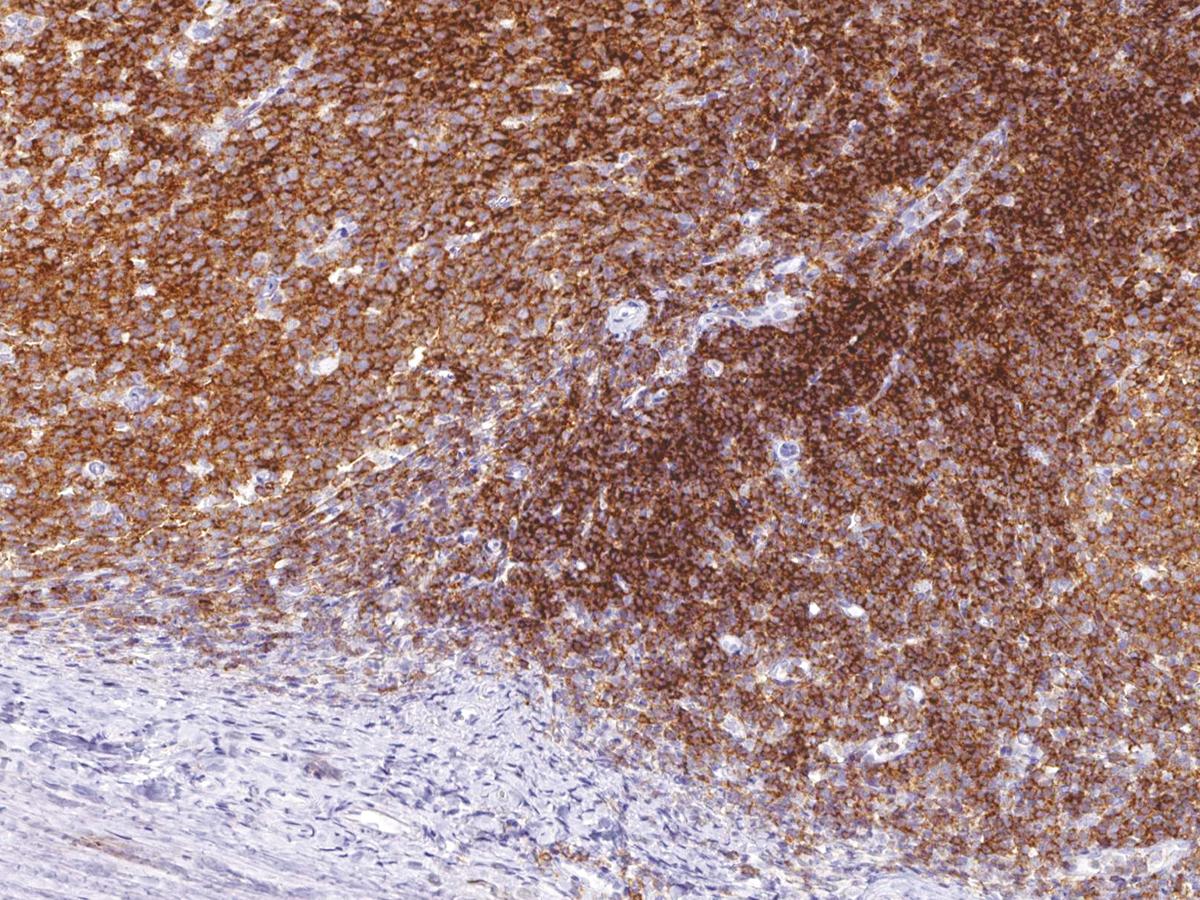
Figure 1: Immunohistochemical analysis of CD45 (LCA) (Clone: IHC045) on Tonsil
Roll over image to zoom in

Shipping Info:
For estimated delivery dates, please contact us at [email protected]
Amount : | 25 ml |
Isotype : | Mouse IgG2a |
Purification : | Protein A/G Chromatography |
Content : | Tris Buffer, pH 7.3 - 7.7, with 1% BSA and <0.1% Sodium Azide |
Storage condition : | Store at 2°C - 8°C. Do not freeze. |
"Cluster of differentiation 45 (CD45), also known as leukocyte common antigen (LCA), is a member of the protein tyrosine phosphatase (PTPase) family which is known to regulate a variety of cellular processes including cell growth, differentiation, the mitotic cycle, and oncogenic transformation. CD45 is expressed in most nucleated cells of hematopoietic origin, and is an essential regulator of T and B cell antigen receptor signalling. Anti-CD45 positively stains the majority of lymphoid neoplasms, and is highly indicative of lymphoid origin. However, an absence of CD45 does not rule out lymphoid tumors, as certain types of neoplasms lack CD45, such as Hodgkins lymphoma, some T-cell lymphomas, and some leukemias."
This product is available in ready to use format, hence no dilution is required.
For Research Use Only. Not for use in diagnostic/therapeutics procedures.
Subcellular location: | Cell membrane, Membrane raft |
Post transnational modification: | Heavily N- and O-glycosylated. |
Tissue Specificity: | Isoform 1: Detected in thymocytes. Isoform 2: Detected in thymocytes. Isoform 3: Detected in thymocytes. Isoform 4: Not detected in thymocytes. Isoform 5: Detected in thymocytes. Isoform 6: Not detected in thymocytes. Isoform 7: Detected in thymocytes. Isoform 8: Not detected in thymocytes. |
BioGrid: | 111752. 24 interactions. |
There are currently no product reviews
|