Anti-CD45RB Monoclonal Antibody (Clone:MEM-55)

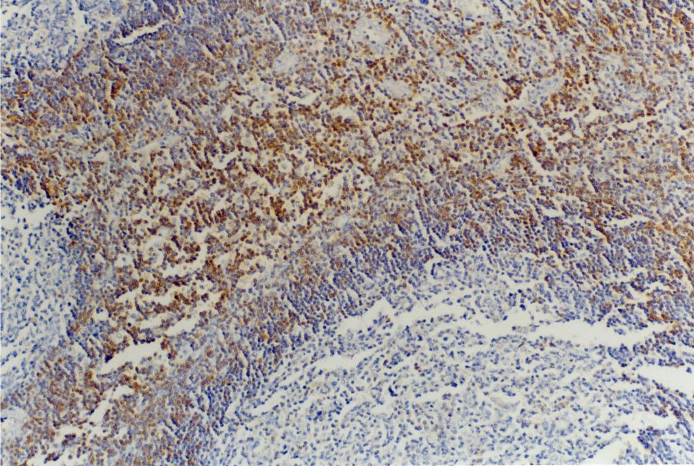
Figure 1: Immunohistochemistry of paraffin-embedded sections (tonsil)(paraffin-embedded sections) with anti-CD45RB (MEM-55).
Roll over image to zoom in
Shipping Info:
For estimated delivery dates, please contact us at [email protected]
Format : | Purified |
Amount : | 0.1 mg |
Isotype : | Mouse IgG1 |
Purification : | Purified by protein-A affinity chromatography |
Storage condition : | Store at 2-8°C. Do not freeze. |
Immunogen Information : | Human thymocytes and T lymphocytes. |
CD45RB is an of a receptor-type protein tyrosine phosphatase, CD45 glycoprotein. CD45 is crucial in lymphocyte development and antigen signaling, serving as an important regulator of Src-family kinases, promotes cell survival by modulating integrin-mediated signal transduction pathway and is also involved in DNA fragmentation during apoptosis. CD45 isoforms differ in their extracellular domains, whereas they share identical transmembrane and cytoplasmic domains. These isoforms differ in their ability to translocate into the glycosphingolipid-enriched membrane domains and their expression depends on cell type and physiological state of the cell. CD45RB is expressed e.g. in microglia and inflammatory cells.
Immunohistochemistry (paraffin sections): No pre-treatment of tissue sections is needed. <br>Flow cytometry: Recommended dilution: 0.5-2 μg/ml.
For Research Use Only. Not for use in diagnostic/therapeutics procedures.
There are currently no product reviews
|