Anti-Clathrin, Light Chain Monoclonal Antibody (Clone: SPM174)

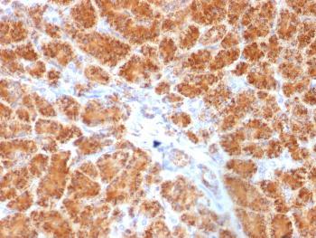
Fig.1: Formalin-fixed, paraffin-embedded human Pancreas stained with Clathrin, LC Monoclonal Antibody (SPM174).
Roll over image to zoom in
Shipping Info:
For estimated delivery dates, please contact us at [email protected]
Amount : | 100 µg |
Isotype : | Mouse IgG2b, kappa |
Content : | 200µg/ml of Ab Purified from Bioreactor Concentrate by Protein A/G. Prepared in 10mM PBS with 0.05% BSA & 0.05% azide. Also available WITHOUT BSA & azide at 1.0mg/ml. |
Storage condition : | Antibody with azide - store at 2 to 8°C. Antibody without azide - store at -20 to -80°C. Antibody is stable for 24 months. |
Gene : | CLTA and CLTB |
Gene ID : | 1211; 1212 |
Uniprot ID : | P09496; P09497 |
Alternative Name : | Clathrin light chain A; Clathrin light chain B; Clathrin light chain LCA; Clathrin light chain LCB; Clathrin light polypeptide A; Clathrin light polypeptide B; Clathrin, light polypeptide (Lca); Clathrin, light polypeptide (Lcb); CLTA; CLTB |
Immunogen Information : | Purified recombinant N-terminal fragment of human Clathrin Light Chain |
Flow Cytometry (1-2ug/million cells); Immunofluorescence (1-2ug/ml); Western Blot (1-2ug/ml); Immunohistochemistry (Formalin-fixed) (1-2ug/ml for 30 min at RT)(Staining of formalin-fixed tissues requires heating tissue sections in 10mM Tris with 1mM EDTA, pH 9.0, for 45 min at 95°C followed by cooling at RT for 20 minutes);
For Research Use Only. Not for use in diagnostic/therapeutics procedures.
There are currently no product reviews
|