Anti-Desmoglein-1 (DSG1) Monoclonal Antibody(Clone: DSG1/1733)

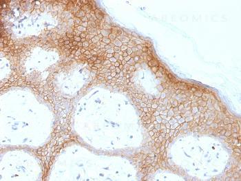
Fig. 1: Formalin-fixed, paraffin-embedded human skin stained with Desmoglein-1 Monoclonal Antibody (DSG1/1733).
Roll over image to zoom in
Shipping Info:
For estimated delivery dates, please contact us at [email protected]
Amount : | 100 µg |
Isotype : | Mouse IgG1, kappa |
Content : | 200 µg/ml of Ab Purified from Bioreactor Concentrate by Protein A/G. Prepared in 10mM PBS with 0.05% BSA & 0.05% azide. Also available WITHOUT BSA & azide at 1.0mg/ml. |
Storage condition : | Antibody with azide - store at 2 to 8°C. Antibody without azide - store at -20 to -80°C. Antibody is stable for 24 months. Non-hazardous. |
Gene : | DSG1 |
Gene ID : | 1828 |
Uniprot ID : | Q02413 |
Alternative Name : | Cadherin family member 4; CDHF4; Desmoglein-1; Desmosomal glycoprotein 1; DG1; DSG1; EPKHE; EPKHIA; Pemphigus foliaceus antigen; PPKS1; SPPK1 |
Immunogen Information : | Recombinant human desmoglein-1 protein fragment corresponding to intracellular domain |
Immunohistochemistry (Formalin-fixed) (1-2ug/ml for 30 minutes at RT)(Staining of formalin-fixed tissues requires heating tissue sections in 10mM Tris buffer with 1mM EDTA, pH 8.0, for 45 min at 95°C followed by cooling at RT for 20 minutes)
For Research Use Only. Not for use in diagnostic/therapeutics procedures.
There are currently no product reviews
|