Anti-DOG-1/TMEM16A (Gastrointestinal Stromal Tumor Marker) Recombinant Mouse Monoclonal Antibody (Clone:rDG1/447)

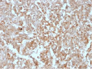
Figure 1: Formalin-fixed, paraffin-embedded human GIST stained with DOG-1 Mouse Recombinant Monoclonal Antibody (rDG1/447).
Roll over image to zoom in
Shipping Info:
For estimated delivery dates, please contact us at [email protected]
Format : | Purified |
Amount : | 100 µg |
Isotype : | Mouse IgG1, kappa |
Purification : | Protein A/G |
Content : | 200µg/ml of recombinant MAb purified by Protein A/G. Prepared in 10mM PBS with 0.05% BSA & 0.05% azide. Also available WITHOUT BSA & azide at 1.0mg/ml. |
Storage condition : | Antibody with azide - store at 2 to 8°C. Antibody without azide - store at -20 to -80°C. Antibody is stable for 24 months. Non-hazardous. |
Immunohistochemistry (Formalin-fixed) (1-2µg/ml for 30 minutes at RT)(Staining of formalin-fixed tissues requires heating tissue sections in 10mM Tris with 1mM EDTA, pH 9.0, for 45 min at 95°C followed by cooling at RT for 20 minutes);
For Research Use Only. Not for use in diagnostic/therapeutics procedures.
Subcellular location: | Cell membrane, Cytoplasm |
Tissue Specificity: | Broadly expressed with higher levels in liver, skeletal muscle and gastrointestinal muscles. |
BioGrid: | 120417. 1 interactions. |
There are currently no product reviews
|