Anti-E-Cadherin (CDH1) / CD324 (Intercellular Junction Marker) Monoclonal Antibody(Clone: CDH1/3256)

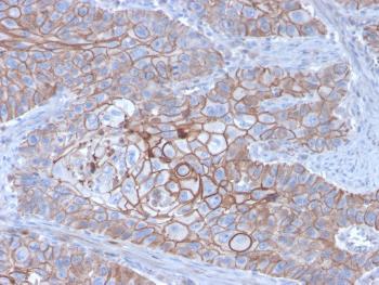
Fig. 1: Formalin-fixed, paraffin-embedded human Breast Carcinoma stained with E-Cadherin Mouse Monoclonal Antibody (CDH1/3256).
Roll over image to zoom in
Shipping Info:
For estimated delivery dates, please contact us at [email protected]
Amount : | 100 µg |
Isotype : | Mouse IgG1, kappa |
Content : | 200 µg/ml of Ab Purified from Bioreactor Concentrate by Protein A/G. Prepared in 10mM PBS with 0.05% BSA & 0.05% azide. Also available WITHOUT BSA & azide at 1.0mg/ml. |
Storage condition : | Antibody with azide - store at 2 to 8°C. Antibody without azide - store at -20 to -80°C. Antibody is stable for 24 months. Non-hazardous. |
Gene : | CDH1 |
Gene ID : | 999 |
Uniprot ID : | P12830 |
Alternative Name : | Arc 1; cadherin 1 type 1 E-cadherin; Cadherin1; CAM 120/80; CDHE; E-Cad/CTF3; E-cadherin; ECAD; Epithelial cadherin; epithelial calcium dependent adhesion protein; Liver cell adhesion molecule (LCAM); Uvomorulin (UVO) |
Immunogen Information : | Recombinant fragment of human CDH1 protein (around aa 567-691) (exact sequence is proprietary) |
Recognizes a protein of 120-80kDa, identified as E-cadherin. Cadherins comprise a family of Ca2+-dependent adhesion molecules that function to mediate cell-cell binding critical to the maintenance of tissue structure and morphogenesis. The classical cadherins, E-, N- and P-cadherin, consist of large extracellular domains characterized by a series of five homologous NH2 terminal repeats. The relatively short intracellular domains interact with a variety of cytoplasmic proteins, such as -catenin, to regulate cadherin function. E-cadherin plays an important role in epithelial cell adhesion. A decreased expression of E-cadherin is associated with metastatic potential and poor prognosis in breast cancer, prostate and esophageal cancer. In combination with p120 Catenin, it is useful for the differentiation between ductal (E-cadherin +) and lobular (E-cadherin -) breast carcinomas. It may also help in diagnosis of mesothelioma.
Flow Cytometry (1-2ug/million cells); ,Immunohistochemistry (Formalin-fixed) (1-2ug/ml for 30 minutes at RT),(Staining of formalin-fixed tissues requires heating tissue sections in 10mM Tris with 1mM EDTA, pH 9.0, for 45 min at 95°C followed by cooling at RT for 20 minutes);
For Research Use Only. Not for use in diagnostic/therapeutics procedures.
There are currently no product reviews
|