Anti-Ep-CAM / CD326 (Extracellular Domain) (Epithelial Marker) Monoclonal Antibody(Clone: EGP40/1120)

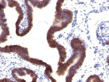
Fig. 1: Formalin-fixed, paraffin-embedded human Ovarian Carcinoma stained with EpCAM Mouse Monoclonal Antibody (EGP40/1120).
Roll over image to zoom in
Shipping Info:
For estimated delivery dates, please contact us at [email protected]
Amount : | 100 µg |
Isotype : | Mouse IgG1, kappa |
Content : | 200 µg/ml of Ab Purified from Bioreactor Concentrate by Protein A/G. Prepared in 10mM PBS with 0.05% BSA & 0.05% azide. Also available WITHOUT BSA & azide at 1.0mg/ml. |
Storage condition : | Antibody with azide - store at 2 to 8°C. Antibody without azide - store at -20 to -80°C. Antibody is stable for 24 months. Non-hazardous. |
Gene : | TACSTD1 |
Gene ID : | 4072 |
Uniprot ID : | P16422 |
Alternative Name : | Adenocarcinoma-associated Antigen; Cell Surface Glycoprotein Trop-1; EGP2; EGP314; EGP40; Epithelial Cell Adhesion Molecule; Epithelial Glycoprotein 314; ESA; KSA; TACD1; TROP1; Tumor-associated Calcium Signal Transducer 1 (TACSTD1); ECS-1; Epidermal Surface Antigen 1; ESA1; FLOT2; Flotillin-2; Membrane Component, Chromosome 17, Surface Marker-1 (M17S1); REG-1; Reggie-1; Reggie-2 |
Immunogen Information : | Recombinant full-length human EpCAM protein |
Flow Cytometry (1-2ug/million cells); Immunofluorescence (1-2ug/ml); Western Blot (Non-reducing only; 1-2ug/ml); Immunohistochemistry (Formalin-fixed) (0.25-0.5ug/ml for 30 min at RT)(Staining of formalin-fixed tissues requires heating tissue sections in 10mM Tris with 1mM EDTA, pH 9.0, for 45 min at 95°C followed by cooling at RT for 20 minutes);
For Research Use Only. Not for use in diagnostic/therapeutics procedures.
There are currently no product reviews
|