Anti-FOXA1 / HNF3A Recombinant Mouse Monoclonal Antibody (Clone:rFOXA1/1515)

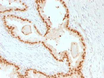
Figure 1: Formalin-fixed, paraffin-embedded human Prostate Carcinoma stained with FOXA1 Mouse Recombinant Monoclonal Antibody (rFOXA1/1515).
Roll over image to zoom in
Shipping Info:
For estimated delivery dates, please contact us at [email protected]
Format : | Purified |
Amount : | 100 µg |
Isotype : | Mouse IgG1, kappa |
Purification : | Protein A/G |
Content : | 200µg/ml of recombinant MAb purified by Protein A/G. Prepared in 10mM PBS with 0.05% BSA & 0.05% azide. Also available WITHOUT BSA & azide at 1.0mg/ml. |
Storage condition : | Antibody with azide - store at 2 to 8°C. Antibody without azide - store at -20 to -80°C. Antibody is stable for 24 months. Non-hazardous. |
Gene : | FOXA1 |
Gene ID : | 3169 |
Uniprot ID : | P55317 |
Alternative Name : | Forkhead box protein A1 (FOXA1); Hepatocyte nuclear factor 3-alpha (HNF-3-alpha or HNF-3A or HNF3A); Transcription factor 3A (TCF-3A or TCF3A) |
Immunogen Information : | Recombinant fragment of human FOXA1 protein (around aa 372-472) (exact sequence is proprietary) |
The transcription factor Forkhead-box A1 (FOXA1), also known as hepatocyte nuclear factor 3-alpha, is a member of the FOX class of transcription factors.HNF-1 ( and ), HNF-3 (, and ), HNF-4 ( and ), and HNF-6 compose, in part, a homeoprotein family designated the hepatocyte nuclear factor family. The various HNF-1 isoforms regulate transcription of genes in the liver as well as in other tissues such as kidney, small intestine and thymus. FOXA1 is expressed in normal breast ductal epithelium and other epithelium in different organs, such as lung, pancreas, bladder, prostate, and colon. Recently, FOXA1 has been shown to be a major determinant of estrogen-ER activity and endocrine response in breast cancer cells. FOXA1 expression correlates with estrogen receptor (ER)-positivity, especially in luminal subtype A breast cancers, which is associated with favorable prognosis. FOXA1 is useful in the sub-classification of breast carcinomas.
Flow Cytometry (1-2µg/million cells); Immunohistochemistry (Formalin-fixed) (1-2µg/ml for 30 minutes at RT)(Staining of formalin-fixed tissues is enhanced by heating tissue sections in 10mM Tris with 1mM EDTA, pH 9.0 for 45 min at 95°C followed by cooling at RT for 20 minutes)
For Research Use Only. Not for use in diagnostic/therapeutics procedures.
Subcellular location: | Nucleus |
Tissue Specificity: | Highly expressed in prostate and ESR1-positive breast tumors. Overexpressed in esophageal and lung adenocarcinomas. |
BioGrid: | 109411. 287 interactions. |
There are currently no product reviews
|