Anti-GATA3 Monoclonal Antibody (Clone:IHC583)

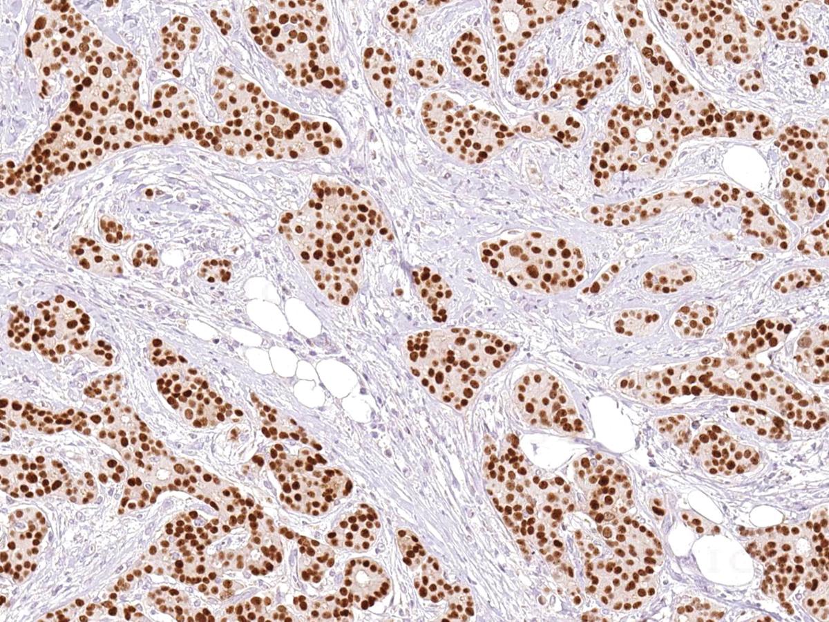
Figure 1: Immunohistochemical analysis of GATA3 (IHC583) on Breast Cancer
Roll over image to zoom in
Shipping Info:
For estimated delivery dates, please contact us at [email protected]
Format : | Purified |
Amount : | 1 ml |
Purification : | Protein A/G Chromatography |
Storage condition : | Store at 2°C - 8°C. |
GATA3 is a transcription factor important in cell proliferation, development, and differentiation. GATA3 is mostly observed in breast and urothelial carcinomas, and rarely present in other cancers such as endometrial endometrioid adenocarcinoma. Among the breast carcinomas, GATA3 has a lower expression in luminal B subtype breast carcinoma. Studies have found GATA3 expression to be associated with ER (estrogen receptor), PR (progesterone receptor), and Her2 in breast cancer cases. Urothelial carcinomas stain positively for GATA3 in invasive or high grade tumors, therefore Anti-GATA3 is useful for carcinoma diagnosis when breast and bladder are plausible.
Recommended dilutions: Immunohistochemical analysis: 1:100 - 1:200. However, this need to be optimized based on the research applications.
For Research Use Only. Not for use in diagnostic/therapeutics procedures.
There are currently no product reviews
|