Anti-Nerve Growth Factor Receptor (NGFR) Monoclonal Antibody (Clone:IHC637)

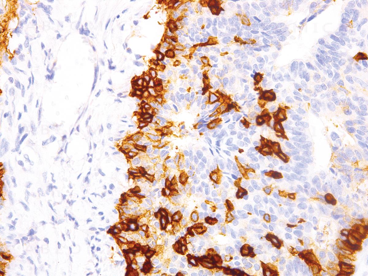
Figure 1: Immunohistochemical analysis of Nerve Growth Factor Receptor (NGFR) (Clone: IHC637) on Cervix
Roll over image to zoom in
Shipping Info:
For estimated delivery dates, please contact us at [email protected]
Format : | Purified |
Amount : | 0.5 ml |
Purification : | Protein A/G Chromatography |
Content : | Tris Buffer, pH 7.3 - 7.7, with 1% BSA and <0.1% Sodium Azide |
Storage condition : | Store at 2°C - 8°C. Do not freeze. |
Nerve Growth Factor Receptor (NGFR), also known as p75, P-75NTR or CD271, is a neurotrophin receptor belonging to the tumor necrosis factor receptor family. NGFR is expressed mainly in Schwann cells and neurons, as well as a number of other non-neuronal cell types, and functions during central and peripheral nervous system development to regulate neuronal growth, migration, differentiation, and cell death. Nerve Growth Factor Receptor is also expressed in melanocytes, melanomas, neuroblastomas, pheochromocytomas, neurofibromas, neurotized nevi (type C melanocytes), and other neural crest cell or tumor derivatives.
Recommended dilutions: Immunohistochemical analysis: 1:100 - 1:200. However, this need to be optimized based on the research applications.
For Research Use Only. Not for use in diagnostic/therapeutics procedures.
Subcellular location: | Membrane |
Post transnational modification: | Phosphorylated on serine residues. |
BioGrid: | 110870. 37 interactions. |
There are currently no product reviews
|