Anti-Neurofilament heavy protein Monoclonal Antibody (Clone:NF-01)
 
		
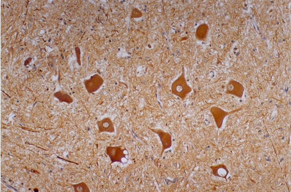
			Figure 1: Immunohistochemistry staining of human cerebellum (paraffin-embedded sections) with anti-Neurofilament heavy protein (NF-01).
Roll over image to zoom in
Shipping Info:
For estimated delivery dates, please contact us at [email protected]
| Format : | Purified | 
| Amount : | 0.1 mg | 
| Isotype : | Mouse IgG1 | 
| Purification : | Precipitation and chromatography | 
| Storage condition : | Store at 2-8°C. Do not freeze. | 
| Immunogen Information : | Pellet of porcine brain cold-stable proteins after depolymerization of microtubules. | 
Neurofilaments (NFs) are a type of intermediate filament (IF) expressed almost exclusively in neuronal cells, and in those cells most prominently in large axons. NFs in most vertebrates are composed of three different polypeptide chains with different molecular weights - neurofilament heavy protein (NF-H), medium (NF-M) and light protein (NF-L), which share sequence and structural similarity in a coiled-coil core domain, but differ in the length and sequence of their N-termini and more dramatically of their C-termini which in the case of NF-M and NF-H form the flexible extensions that link NFs to each other and to other elements in the cytoplasm. The protein segment on the C-terminal side of the human NF-H rod is uniquely long (more than 600 amino acids) compared to other IF proteins and is highly charged (> 24 % Glu, > 25 % Lys), rich in proline (> 12 %) and improverished in cysteine, methionine and aromatic amino acids. Its most remarkable feature is a repetitive sequence that covers more than half its lenght and includes the sekvence motif Lys-Ser-Pro (KSP) greater than 40 times. Plasma neurofilament heavy chain level has been proposed as a marker of axonal injury and clinical use of its degeneration and loss has been suggested as a biomarker of several neurodegenerative diseases.
	Immunohistochemistry (paraffin sections): Recommended dilution: 5-10 μg/ml.
	Western blotting: Recommended dilution: 1-2 μg/ml.
For Research Use Only. Not for use in diagnostic/therapeutics procedures.
| 
                    	There are currently no product reviews | 
















.png)








 
					



