Anti-NGF-Receptor (p75) / CD271 (Soft Tissue Tumor Marker) Monoclonal Antibody(Clone: NGFR/2550R)

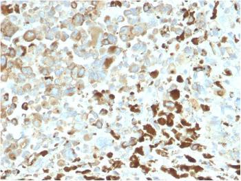
Fig. 1: Formalin-fixed, paraffin-embedded human Melanoma stained with NGFR Rabbit Recombinant Monoclonal Antibody (NGFR/2550R).
Roll over image to zoom in
Shipping Info:
For estimated delivery dates, please contact us at [email protected]
Amount : | 100 µg |
Isotype : | Rabbit IgG |
Content : | 200 µg/ml of Ab Purified from Bioreactor Concentrate by Protein A/G. Prepared in 10mM PBS with 0.05% BSA & 0.05% azide. Also available WITHOUT BSA & azide at 1.0mg/ml. |
Storage condition : | Antibody with azide - store at 2 to 8°C. Antibody without azide - store at -20 to -80°C. Antibody is stable for 24 months. Non-hazardous. |
Gene : | NGFR |
Gene ID : | 4804 |
Uniprot ID : | P08138 |
Alternative Name : | CD271; Gp80-LNGFR; Low affinity nerve growth factor receptor; Low affinity neurotrophin receptor p75NTR; Nerve growth factor receptor (NGFR); p75 ICD; p75 Neurotrophin receptor; Tumor necrosis factor receptor superfamily member 16 (TNFRSF16) |
Immunogen Information : | Recombinant human p75 NGFR protein fragment (around aa 281-421) (exact sequence is proprietary) |
It recognizes a glycoprotein of 75kDa, identified as low affinity Nerve Growth Factor (NGF) Receptor (p75NGFR) or Neurotrophin Receptor (p75NTR). NGFR is expressed in various neural crest cells and their tumors such as melanocytes, melanomas, neuroblastomas, pheochromocytomas and neurofibromas. Reportedly, anti-NGFR is a reliable marker for desmoplastic and neurotropic melanomas. NGFR is expressed in mature non-neural cells such as perivascular cells, dental pulp cells, lymphoidal follicular dendritic cells, basal epithelium of oral mucosa and hair follicles, prostate basal cells, and myoepithelial cells. Anti-NGFR stains the myoepithelial cells of breast ducts and intra-lobular fibroblasts of breast ducts.
Western Blot (1-2ug/ml); Immunohistochemistry (Formalin-fixed) (1-2ug/ml for 30 minutes at RT)(Staining of formalin-fixed tissues requires heating tissue sections in 10mM Tris with 1mM EDTA, pH 9.0, for 45 min at 95°C followed by cooling at RT for 20 minutes);
For Research Use Only. Not for use in diagnostic/therapeutics procedures.
There are currently no product reviews
|