Anti-NKX6.1 (Marker for Pancreatic and Duodenal Neuroendocrine Tumors) Monoclonal Antibody(Clone: NKX61/2561)
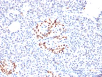
Fig. 1: Formalin-fixed, paraffin-embedded human Pancreas stained with NKX6.1 Mouse Monoclonal Antibody (NKX61/2561).
Roll over image to zoom in
Shipping Info:
For estimated delivery dates, please contact us at [email protected]
| Amount : | 100 µg |
| Isotype : | Mouse IgG2c, kappa |
| Content : | 200 µg/ml of Ab Purified from Bioreactor Concentrate by Protein A/G. Prepared in 10mM PBS with 0.05% BSA & 0.05% azide. Also available WITHOUT BSA & azide at 1.0mg/ml. |
| Storage condition : | Antibody with azide - store at 2 to 8°C. Antibody without azide - store at -20 to -80°C. Antibody is stable for 24 months. Non-hazardous. |
| Gene : | NKX6-1 |
| Gene ID : | 4825 |
| Uniprot ID : | P78426 |
| Alternative Name : | Homeobox protein NK-6 homolog A; NK homeobox, family 6, A; NK6 homeobox 1; NK6 transcription factor homolog A; NK6 transcription factor related, locus 1 (Drosophila); NKX6-1; NKX6A |
| Immunogen Information : | Recombinant full-length human NKX6.1 protein |
Immunohistochemistry (Formalin-fixed) (1-2ug/ml for 30 minutes at RT),(Staining of formalin-fixed tissues requires heating tissue sections in 10mM Tris with 1mM EDTA, pH 9.0, for 45 min at 95°C followed by cooling at RT for 20 minutes);
For Research Use Only. Not for use in diagnostic/therapeutics procedures.
|
There are currently no product reviews
|
























.png)














