Anti-OX40 / CD134/ TNFRSF4 (Immuno-Oncology Target) Monoclonal Antibody(Clone: OX40/3108)

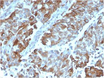
Fig. 1: Formalin-fixed, paraffin-embedded human Renal Cell Carcinoma stained with OX40 Mouse Monoclonal Antibody (OX40/3108).
Roll over image to zoom in
Shipping Info:
For estimated delivery dates, please contact us at [email protected]
Amount : | 100 µg |
Isotype : | Mouse IgG2c, kappa |
Content : | 200 µg/ml of Ab Purified from Bioreactor Concentrate by Protein A/G. Prepared in 10mM PBS with0.05% BSA & 0.05% azide. Also available WITHOUT BSA & azide at 1.0mg/ml. |
Storage condition : | Antibody with azide - store at 2 to 8°C. Antibody without azide - store at -20 to -80°C. Antibody is stable for 24 months. Non-hazardous. |
Gene : | TNFRSF4 |
Gene ID : | 7293 |
Uniprot ID : | P43489 |
Alternative Name : | ACT35; CD134; Lymphoid activation antigen ACT35; OX40; TAX transcriptionally-activated glycoprotein 1 receptor; TNFRSF4 (Tumor necrosis factor receptor superfamily member 4) |
Immunogen Information : | Recombinant fragment of human OX40 (CD134) protein (around aa 59-205) (exact sequence is proprietary) |
ELISA (For coating, order antibody without BSA);Flow Cytometry (1-2ug/million cells); Immunofluorescence (1-2ug/ml);,Immunohistochemistry (Formalin-fixed) (1-2ug/ml for 30 minutes at RT),(Staining of formalin-fixed tissues requires heating tissue sections in 10mM Tris with 1mM EDTA, pH 9.0, for 45 min at 95°C followed by cooling at RT for 20 minutes);
For Research Use Only. Not for use in diagnostic/therapeutics procedures.
There are currently no product reviews
|