Anti-Prolactin (Pituitary Tumor Marker) Monoclonal Antibody(Clone: PRL/2910)

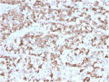
Fig. 1: Formalin-fixed, paraffin-embedded human Pituitary stained with Prolactin Mouse Monoclonal Antibody (PRL/2910).
Roll over image to zoom in
Shipping Info:
For estimated delivery dates, please contact us at [email protected]
Amount : | 100 µg |
Isotype : | Mouse IgG2b, kappa |
Content : | 200 µg/ml of Ab Purified from Bioreactor Concentrate by Protein A/G. Prepared in 10mM PBS with0.05% BSA & 0.05% azide. Also available WITHOUT BSA & azide at 1.0mg/ml. |
Storage condition : | Antibody with azide - store at 2 to 8°C. Antibody without azide - store at -20 to -80°C. Antibody is stable for 24 months. Non-hazardous. |
Gene : | PRL |
Gene ID : | 5617 |
Uniprot ID : | P01236 |
Alternative Name : | Decidual prolactin; GHA1; Growth hormone A1; Lactogenic hormone; Luteotropic hormone; Mammotropin; PRL; Prolactin; Prolactin precursor |
Immunogen Information : | Recombinant fragment of humanProlactin (PRL) protein (around aa 63-201) (exact sequence is proprietary) |
Prolactin is a growth factor that is secreted by the anterior pituitary. It is necessary for the proliferation and differentiation of the mammary glands.Prolactin is useful in the classification of pituitary tumors and study of pituitary disease. It also plays a role in the development of mammary cancer, functioning dually as a mitogen and a differentiating agent.
Immunohistochemistry (Formalin-fixed) (1-2ug/ml for 30 min at RT),(Staining of formalin-fixed tissues requires heating tissue sections in 10mM Tris with 1mM EDTA, pH 9.0, for 45 min at 95°C followed by cooling at RT for 20 minutes);
For Research Use Only. Not for use in diagnostic/therapeutics procedures.
There are currently no product reviews
|