Anti-PU.1 (SPI-1) (B-Cell Marker) Monoclonal Antibody(Clone: PU1/2146)
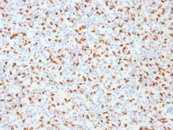
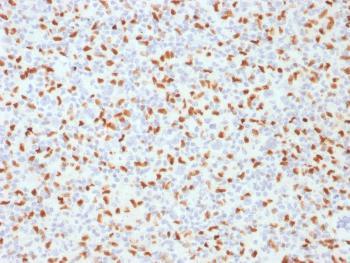
Fig. 1: Formalin-fixed, paraffin-embedded human Hodgkin's Lymphoma stained with PU.1-Monospecific Mouse Monoclonal Antibody (PU1/2146).
Roll over image to zoom in
Shipping Info:
For estimated delivery dates, please contact us at [email protected]
| Amount : | 100 µg |
| Isotype : | Mouse IgG2b, kappa |
| Content : | 200 µg/ml of Ab Purified from Bioreactor Concentrate by Protein A/G. Prepared in 10mM PBS with 0.05% BSA & 0.05% azide. Also available WITHOUT BSA & azide at 1.0mg/ml. |
| Storage condition : | Antibody with azide - store at 2 to 8°C. Antibody without azide - store at -20 to -80°C. Antibody is stable for 24 months. Non-hazardous. |
| Gene : | SPI1 |
| Gene ID : | 6688 |
| Uniprot ID : | P17947 |
| Alternative Name : | Transcription Factor spi1; 31kDa Transforming Protein; Hematopoietic Transcription Factor PU.1; SFPI1; SPI1; SPIA; Spleen focus forming virus (SFFV) proviral integration oncogene spi1 |
| Immunogen Information : | Recombinant fragment (around aa 16-170) of human PU.1 protein (Exact sequence is proprietary) |
Flow Cytometry (1-2ug/million cells); Immunofluorescence (1-2ug/ml); ,Western Blot (1-2ug/ml);,Immunohistology (Formalin-fixed) (1-2ug/ml for 30 minutes at RT),(Staining of formalin-fixed tissues requires boiling tissue sections in 10mM citrate buffer, pH 6.0, for 10-20 min followed by cooling at RT for 20 minutes),
For Research Use Only. Not for use in diagnostic/therapeutics procedures.
|
There are currently no product reviews
|



























.png)














