Anti-TACSTD2 / TROP2 (Epithelial Marker) Monoclonal Antibody(Clone: TACSTD2/2151)

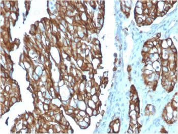
Fig. 1: Formalin-fixed, paraffin-embedded human Colon Carcinoma stained with TACSTD2 / TROP2 Mouse Monoclonal Antibody (TACSTD2/2151).
Roll over image to zoom in
Shipping Info:
For estimated delivery dates, please contact us at [email protected]
Amount : | 100 µg |
Isotype : | Mouse IgG2b, kappa |
Content : | 200 µg/ml of Ab Purified from Bioreactor Concentrate by Protein A/G. Prepared in 10mM PBS with0.05% BSA & 0.05% azide. Also available WITHOUT BSA & azide at 1.0mg/ml. |
Storage condition : | Antibody with azide - store at 2 to 8°C. Antibody without azide - store at -20 to -80°C. Antibody is stable for 24 months. Non-hazardous. |
Gene : | TACSTD2 |
Gene ID : | 4070 |
Uniprot ID : | P09758 |
Alternative Name : | Cell surface glycoprotein Trop-2;Membrane Component Chromosome 1, Surface Marker 1 (M1S1);Pancreatic Carcinoma Marker Protein GA733-1;TROP2;Tumor-Associated Calcium Signal Transducer 2 (TACSTD2) |
Immunogen Information : | Recombinant fragment of human TACSTD2 protein (around aa 31-274) (exact sequence is proprietary) |
TACSTD2is a cell surface glycoprotein receptor. It is a single pass type I membrane protein containing one thyroglobulin type-1 domain, an epidermal growth factor-like repeat, a phosphatidylinositol binding site and tyrosine phosphorylation sites near the C-terminus. It plays a role intransducing intracellular calcium signals. It is expressed in trophoblast cells, cornea and multi-stratified epithelia. It is also highly expressed in several types of tumors and is involved in regulating the growth of carcinoma cells.
Western Blot (1-2ug/ml); ,Immunohistochemistry (Formalin-fixed) (1-2ug/ml for 30 minutes at RT),(Staining of formalin-fixed tissues requires heating tissue sections in 10mM Tris with 1mM EDTA, pH 9.0, for 45 min at 95 °C followed by cooling at RT for 20 minutes),
For Research Use Only. Not for use in diagnostic/therapeutics procedures.
There are currently no product reviews
|