Anti-TGF-alpha (Transforming Growth Factor alpha) Monoclonal Antibody(Clone: SPM357)

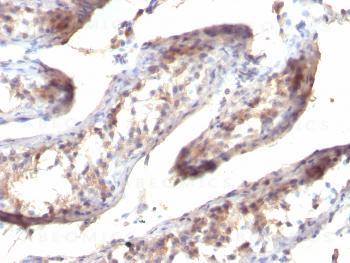
Fig. 1: Formalin-fixed, paraffin-embedded human Testicular Carcinoma stained with TGF alpha Mouse Monoclonal Antibody (SPM357)
Roll over image to zoom in
Shipping Info:
For estimated delivery dates, please contact us at [email protected]
Amount : | 100 µg |
Isotype : | Mouse IgG1, kappa |
Content : | 200 µg/ml of Ab Purified from Bioreactor Concentrate by Protein A/G. Prepared in 10mM PBS with 0.05% BSA & 0.05% azide. Also available WITHOUT BSA & azide at 1.0mg/ml. |
Storage condition : | Antibody with azide - store at 2 to 8°C. Antibody without azide - store at -20 to -80°C. Antibody is stable for 24 months. Non-hazardous. |
This antibody reacts with the C-terminus of TGF alpha and shows no cross-reaction with EGF and the neuropeptide synenkephalin. The staining with Ab-1 is completely blocked by the peptide used for raising this antibody. TGF (aa50) is a growth factor with 33% homology to EGF, binds to EGFR, activates tyrosine phosphorylation of the receptor, and stimulates cell proliferation. It plays a role in tumor initiation by inducing the reversible transformed phenotype.
Flow Cytometry (1-2ug/million cells); Immunofluorescence (1-2ug/ml);
For Research Use Only. Not for use in diagnostic/therapeutics procedures.
There are currently no product reviews
|