Anti-TLE1 (Synovial Sarcoma Marker) Monoclonal Antibody(Clone: TLE1/2062)

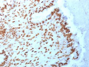
Fig. 1: Formalin-fixed, paraffin-embedded human Endometrial Carcinoma stained with TLE1 Mouse Monoclonal Antibody (TLE1/2062).
Roll over image to zoom in
Shipping Info:
For estimated delivery dates, please contact us at [email protected]
Amount : | 100 µg |
Isotype : | Mouse IgG2a, kappa |
Content : | 200 µg/ml of Ab Purified from Bioreactor Concentrate by Protein A/G. Prepared in 10mM PBS with 0.05% BSA & 0.05% azide. Also available WITHOUT BSA & azide at 1.0mg/ml. |
Storage condition : | Antibody with azide - store at 2 to 8°C. Antibody without azide - store at -20 to -80°C. Antibody is stable for 24 months. Non-hazardous. |
Gene : | TLE1 |
Gene ID : | 7088 |
Uniprot ID : | Q04724 |
Alternative Name : | Enhancer of split groucho 1 (ESG1); Enhancer of split groucho-like protein 1; GRG1; TLE1; Transducin like enhancer of split 1; Transducin-like enhancer protein 1 |
Immunogen Information : | Recombinant human TLE1 fragment (aa 175-338) (exact sequence is proprietary) |
Western Blot (1-2ug/ml); Immunohistochemistry (Formalin-fixed) (1-2ug/ml for 30 minutes at RT)(Staining of formalin-fixed tissues requires heating tissue sections in 10mM Tris with 1mM EDTA, pH 9.0, for 45 min at 95°C followed by cooling at RT for 20 minutes);
For Research Use Only. Not for use in diagnostic/therapeutics procedures.
There are currently no product reviews
|