Anti-TNF-alpha (Tumor Necrosis Factor alpha) Polyclonal Antibody
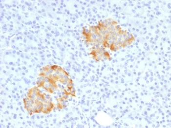
Fig. 1: Formalin-fixed, paraffin-embedded human Pancreas stained with TNF alpha Rabbit Polyclonal Antibody.
Roll over image to zoom in
Shipping Info:
For estimated delivery dates, please contact us at [email protected]
| Amount : | 100 µg |
| Isotype : | Rabbit IgG |
| Content : | 200 µg/ml of Ab Purified from Bioreactor Concentrate. Prepared in 10mM PBS with 0.05% BSA & 0.05% azide. Also available WITHOUT BSA & azide at 1.0mg/ml. |
| Storage condition : | Antibody with azide - store at 2 to 8°C. Antibody without azide - store at -20 to -80°C. Antibody is stable for 24 months. Non-hazardous. |
| Gene : | TNF |
| Gene ID : | 7124 |
| Uniprot ID : | P01375 |
| Alternative Name : | APC1, Cachectin, Differentiation inducing factor (DIF), Macrophage cytotoxic factor (MCF), Necrosin, TNF alpha, TNF Macrophage Derived, TNF Monocyte Derived, TNF Superfamily Member 2, TNFA, TNFSF2, Tumor necrosis factor ligand superfamily member 2, Tumor Necrosis Factor Precursor |
| Immunogen Information : | Recombinant full-length human TNF-alpha protein |
Immunohistochemistry (Formalin-fixed) (4-8ug/ml for 30 min at RT)(Staining of formalin-fixed tissues requires heating tissue sections in 10mM Tris with 1mM EDTA, pH 9.0, for 45 min at 95°C followed by cooling at RT for 20 minutes);
For Research Use Only. Not for use in diagnostic/therapeutics procedures.
|
There are currently no product reviews
|



















.png)













