Anti-VISTA / B7-H5 / VSIR (Negative Regulator of Immune Response) Monoclonal Antibody(Clone: VISTA/3007)

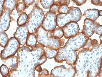
Fig. 1: Formalin-fixed, paraffin-embedded human Placenta stained with VISTA Monospecific Mouse Monoclonal Antibody (VISTA/3007).
Roll over image to zoom in
Shipping Info:
For estimated delivery dates, please contact us at [email protected]
Amount : | 100 µg |
Isotype : | Mouse IgG2b, kappa |
Content : | 200 µg/ml of Ab Purified from Bioreactor Concentrate by Protein A/G. Prepared in 10mM PBS with 0.05% BSA & 0.05% azide. Also available WITHOUT BSA & azide at 1.0mg/ml. |
Storage condition : | Antibody with azide - store at 2 to 8°C. Antibody without azide - store at -20 to -80°C. Antibody is stable for 24 months. Non-hazardous. |
Gene : | VSIR |
Gene ID : | 64115 |
Uniprot ID : | Q9H7M9 |
Alternative Name : | B7H5; DD1alpha; GI24; PD-1H; PDCD1 homolog; Platelet receptor Gi24; PP2135; Stress-induced secreted protein 1 (SISP1); V domain Ig suppressor of T cell activation (VISTA); V Set Immuno-Regulatory Receptor |
Immunogen Information : | Recombinant full-length human VISTA protein |
ELISA (For coating, order antibody without BSA);,Immunohistochemistry (Formalin-fixed) (1-2ug/ml for 30 minutes at RT),(Staining of formalin-fixed tissues requires heating tissue sections in 10mM Tris with 1mM EDTA, pH 9.0, for 45 min at 95°C followed by cooling at RT for 20 minutes),
For Research Use Only. Not for use in diagnostic/therapeutics procedures.
There are currently no product reviews
|