Anti-ZAP-70 Polyclonal Antibody

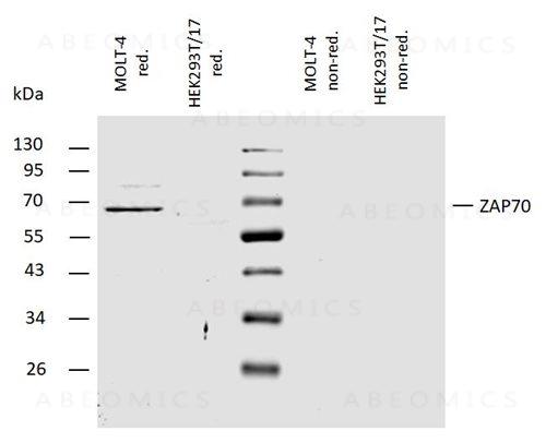
Figure-1: Western blotting analysis of human ZAP70 using rabbit polyclonal antibody PAb (430) on lysates of MOLT-4 cell line and HEK293T/17 cell line (ZAP70 non-expressing cell line; negative control) under non-reducing and reducing conditions. Nitrocellulose membrane was probed with 5 µg/ml of rabbit anti-ZAP70 polyclonal antibody followed by IRDye800-conjugated anti-rabbit secondary antibody. A specific band was detected for ZAP70 protein at approximately 70 kDa.
Roll over image to zoom in
Shipping Info:
For estimated delivery dates, please contact us at [email protected]
Format : | Purified |
Amount : | 0.1 mg |
Isotype : | Rabbit IgG |
Purification : | Purified from rabbit serum by affinity chromatography |
Storage condition : | Store at 2-8°C. Do not freeze. |
The ZAP-70 (zeta-associated protein of 70 kDa) tyrosine kinase was identified as a tyrosine phosphoprotein that associates with TCR zeta subunit and undergoes tyrosine phosphorylation following TCR stimulation. ZAP-70 is a Syk family tyrosine kinase primarily expressed in T and NK cells that plays an essential role in signaling through the TCR. TCR-mediated activation of T cells is crucial to the immune response. In humans, ZAP-70 gene mutations resulting in lower ZAP-70 protein expression levels or expression of catalytically inactive ZAP-70 proteins, have been identified. ZAP-70 deficiency results in the absence of mature CD8+ T cells and the prevention of TCR-mediated activation of CD4+ T cells, and it can lead to severe combined immunodeficiency. ZAP-70 contains two N-terminal SH2 domains (Src homology domain 2) and a C-terminal kinase domain. During T cell activation, the binding of ZAP-70 SH2 domains to the phosphorylated zeta subunit on the activated TCR complex causes a colocalization with the Lck tyrosine kinase that phosphorylates ZAP-70 on Tyr493 in the activation loop. ZAP-70 autophosphorylates multiple tyrosines in the region between the SH2 domains and the kinase domain, including the binding sites for additional SH2-containing signaling proteins such as SLP76, LAT, Lck, PLCgamma1, Vav, Shc, Ras-GAP, and Abl. ZAP-70-mediated activation of these downstream effectors leads to the release of intracellular calcium stores, and the transcription of interleukin-2 and other genes important for an immune response.
Western blotting: Recommended dilution: 1-2 μg/ml; positive control: MOLT-4 cells, reducing conditions.
For Research Use Only. Not for use in diagnostic/therapeutics procedures.
Subcellular location: | Cytoplasm, Cell membrane |
Post transnational modification: | Ubiquitinated in response to T cell activation. Deubiquitinated by OTUD7B. |
Tissue Specificity: | Expressed in T- and natural killer cells. Also present in early thymocytes and pro/pre B-cells. |
BioGrid: | 113367. 52 interactions. |
There are currently no product reviews
|