Breast cancer-normal (Discontinued)
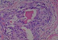
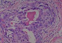
Figure-1: An example of Infiltrating duct carcinoma of breas tissue. For listing of organs in this slide, please click on Slide Info.
Roll over image to zoom in
Shipping Info:
For estimated delivery dates, please contact us at [email protected]
| Amount : | 1 Slide |
| Storage condition : | Individual slide is put in an air-tight pack with inert gas. If the slides are stored at 4 degree, they are good for up to one year. |
| Core diameter | : | 2.0 mm |
| Section thickness | : | 4 micrometer |
| Slide orientation | : | In most of the slides with 59 or 60 cores, the orientation is as below unless indicated otherwise. # 60 location is usually filled with carbon for orientation. |

How processed
- Tissues were initially fixed with formalin except for some of the animal tissues.
- Then, dehydrated with gradient ethanol; typically 1 hour each progressive steps; 70%, 90%, 95%, 99%, 100% x 3 times.
- Cleared by xylene, three changes for 1 hour each.
- Infiltrated with 60°C paraffin, three changes for 1 hour each
- Sectioned by microtome in 4 micrometer thickness and put on Superfrost plus slides.
Before use
- Dry slides for 1 hour in a oven at 60 degree.
- Dewax slides in xylene for 4 minutes x 5 times.
- Hydrate slides in 100%, 95% and 75% ethanol for 3 minutes x 2 times each.
- Immerse slides in tap water for 5 minutes.
Applications
- Immunohistochemistry
- Fluorescent in situ hybridization (FISH)
- mRNA in situ hybridization
- miRNA in situ hybridization
- TUNEL for apoptosis
- Nucleic acid extraction
For Research Use Only. Not for use in diagnostic/therapeutics procedures.
|
There are currently no product reviews
|

















.png)













