Monoclonal Antibody to Bcl-6 (Follicular Lymphoma Marker)(Clone : PG-B6P)(Discontinued)(Discontinued)

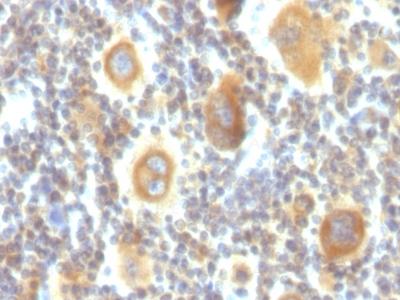
Formalin-fixed, paraffin-embedded human Hodgkin's Lymphoma stained with bcl-6 Monoclonal Antibody (PG-B6P).
Roll over image to zoom in

Shipping Info:
For estimated delivery dates, please contact us at [email protected]
Format : | Purified |
Amount : | 100 µg |
Isotype : | Mouse IgG1 Kappa |
Purification : | Affinity Chromatography |
Content : | 100 µg in 500 µl PBS containing 0.05% BSA and 0.05% sodium azide. Sodium azide is highly toxic. |
Storage condition : | Store the antibody at 4°C; stable for 6 months. For long-term storage; store at -20°C. Avoid repeated freeze and thaw cycles. |
Recognizes a protein of 95kDa, which is identified as Bcl-6. Antibody to bcl-6 is helpful in a number of diagnostic settings: (1) In the differential diagnosis of small B-cell lymphoma. Follicular lymphoma will show bcl-6 (and CD10) positivity whereas other small B-cell lymphomas are usually negative. (2) Bcl-6 is an important prognostic marker in diffuse large B-cell lymphomas (DLBCL), where CD10, bcl-6 and MUM1/IRF4 are used to identify germinal center and activated B-cell phenotypes. (3) Bcl-6 can be valuable in distinguishing classical Hodgkin lymphoma from nodular lymphocyte predominant Hodgkin lymphoma (NLPHL). The Reed-Sternberg cells of classical Hodgkin lymphoma are bcl-6 negative whereas the large (?L&H?) cells of NLPHL are bcl-6 positive. In contrast, anti-Bcl-6 rarely stains mantle-cell lymphoma and MALT lymphoma.
Immunofluorescence (1:50-1:100); Immunohistology (Formalin-fixed) (1:50-1:100 for 30 minutes at RT); (Staining of formalin-fixed tissues requires boiling tissue sections in 10mM Tris with 1mM EDTA, pH 9.0, for 10-20 min followed by cooling at RT for 20 minutes); Optimal dilution for a specific application should be determined.
For Research Use Only. Not for use in diagnostic/therapeutics procedures.
Subcellular location: | Nucleus |
Post transnational modification: | Acetylated at Lys-379 by EP300 which inhibits the interaction with NuRD complex and the transcriptional repressor function. Deacetylated by HDAC- and SIR2-dependent pathways. |
Tissue Specificity: | Expressed in germinal center T- and B-cells and in primary immature dendritic cells. |
BioGrid: | 107076. 119 interactions. |
There are currently no product reviews
|