Monoclonal Antibody to Beta-2 Microglobulin (Renal Failure & Tumor Marker)(Clone : B2M/961)

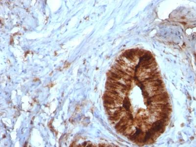
Formalin-fixed, paraffin-embedded human Cervical Carcinoma stained with Beta-2-Microglobulin Monoclonal Antibody (B2M/961).
Roll over image to zoom in
Shipping Info:
For estimated delivery dates, please contact us at [email protected]
Format : | Purified |
Amount : | 100 µg |
Isotype : | Mouse IgG2b, kappa |
Purification : | Affinity Chromatography |
Content : | 100 µg in 500 µl PBS containing 0.05% BSA and 0.05% sodium azide. Sodium azide is highly toxic. |
Storage condition : | Store the antibody at 4°C; stable for 6 months. For long-term storage; store at -20°C. Avoid repeated freeze and thaw cycles. |
Recognizes a protein of 12kDa, identified as β-2 microglobulin. Major histocompatibility complex (MHC) class 1 molecules bind to antigens for presentation on the surface of cells. The proteasome is responsible for producing these antigens from the components of foreign pathogens. MHC class 1 molecules consist of an α heavy chain that contains three subdomains (α1, α2, α3) and a non-covalent associating light chain, known as β-2-Microglobulin. β-2-Microglobulin associates with the α3 subdomain of the α heavy chain and forms an immunoglobulin domain-like structure that mediates proper folding and expression of MHC class 1 molecules. The α1 and α2 domains of the α heavy chain form the peptide antigen-binding cleft. Mutations in the β-2-Microglobulin gene can enhance the progression of malignant melanoma phenotypes.
Flow Cytometry (0.5-1ug/million cells); ,Immunofluorescence (1-4ug/ml); Western Blot (0.5-2ug/ml);,Immunohistochemistry (Formalin-fixed) (0.5-1ug/ml for 30 minutes at RT),(Staining of formalin-fixed tissues requires heating tissue sections in 10mM Tris with 1mM EDTA, pH 9.0, for 45 min at 95 °C followed by cooling at RT for 20 minutes),
For Research Use Only. Not for use in diagnostic/therapeutics procedures.
Post transnational modification: | Glycation of Ile-21 is observed in long-term hemodialysis patients. |
BioGrid: | 107044. 43 interactions. |
There are currently no product reviews
|