Monoclonal Antibody to CD57 / B3GAT1 (Natural Killer Cell Marker)(Clone : NK-1)

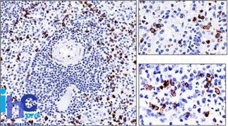
Formalin-fixed, paraffin-embedded human Spleen stained with CD57 Monoclonal Antibody (NK-1).
Roll over image to zoom in
Shipping Info:
For estimated delivery dates, please contact us at [email protected]
Format : | Purified |
Amount : | 100 µg |
Isotype : | Mouse IgM, kappa |
Purification : | Affinity Chromatography |
Content : | 100 µg in 500 µl PBS containing 0.05% BSA and 0.05% sodium azide. Sodium azide is highly toxic. |
Storage condition : | Store the antibody at 4°C; stable for 6 months. For long-term storage; store at -20°C. Avoid repeated freeze and thaw cycles. |
Immunofluorescence (1-2ug/ml); Immunohistochemistry (Formalin-fixed) (2-4ug/ml for 30 minutes at RT)(Staining of formalin-fixed tissues requires heating tissue sections in 10mM Tris with 1mM EDTA, pH 9.0, for 45 min at 95°C followed by cooling at RT for 20 minutes);
For Research Use Only. Not for use in diagnostic/therapeutics procedures.
Subcellular location: | Golgi apparatus membrane, Endoplasmic reticulum membrane, Secreted |
Post transnational modification: | The soluble form derives from the membrane form by proteolytic processing. |
Tissue Specificity: | Mainly expressed in the brain. |
BioGrid: | 117990. 2 interactions. |
There are currently no product reviews
|