Monoclonal Antibody to Chromogranin A / CHGA (Neuroendocrine Marker)(Clone : SPM339)

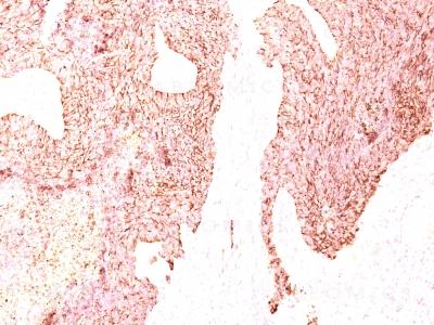
Formalin-fixed, paraffin-embedded human Small Cell Lung Carcinoma stained with Chromogranin A Monoclonal Antibody (SPM339)
Roll over image to zoom in
Shipping Info:
For estimated delivery dates, please contact us at [email protected]
Format : | Purified |
Amount : | 100 µg |
Isotype : | Mouse IgG1, kappa |
Purification : | Affinity Chromatography |
Content : | 100 µg in 500 µl PBS containing 0.05% BSA and 0.05% sodium azide. Sodium azide is highly toxic. |
Storage condition : | Store the antibody at 4°C; stable for 6 months. For long-term storage; store at -20°C. Avoid repeated freeze and thaw cycles. |
Flow Cytometry (1-2ug/million cells); Immunofluorescence (1-2ug/ml); Immunohistochemistry (Formalin-fixed) (1-2ug/ml for 30 minutes at RT)(Staining of formalin-fixed tissues requires heating tissue sections in 10mM Tris with 1mM EDTA, pH 9.0, for 45 min at 95°C followed by cooling at RT for 20 minutes);
For Research Use Only. Not for use in diagnostic/therapeutics procedures.
Subcellular location: | Secreted, Cytoplasmic vesicle |
Post transnational modification: | Proteolytic processing gives rise to an additional longer form of catestatin (residues 358-390) which displays a less potent catecholamine release-inhibitory activity (PubMed:10781584). Plasmin-mediated proteolytic processing can give rise to additional shorter and longer forms of catestatin peptides (PubMed:17991725). |
Tissue Specificity: | GE-25 is found in the brain. |
BioGrid: | 107538. 12 interactions. |
There are currently no product reviews
|