Monoclonal Antibody to Cytokeratin 17 (KRT17) (Basal Epithelial Marker)(Clone : E3; same as Ks17.E3)

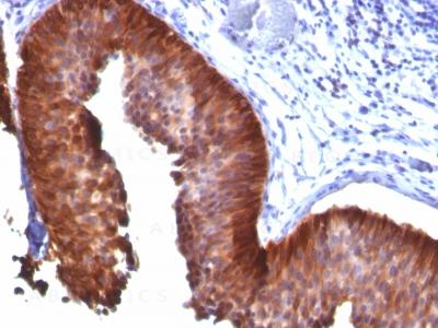
Formalin-fixed, paraffin-embedded human Bladder Carcinoma stained with CK17 Monoclonal Antibody (E3).
Roll over image to zoom in
Shipping Info:
For estimated delivery dates, please contact us at [email protected]
Format : | Purified |
Amount : | 100 µg |
Isotype : | Mouse IgG2b, kappa |
Purification : | Affinity Chromatography |
Content : | 100 µg in 500 µl PBS containing 0.05% BSA and 0.05% sodium azide. Sodium azide is highly toxic. |
Storage condition : | Store the antibody at 4°C; stable for 6 months. For long-term storage; store at -20°C. Avoid repeated freeze and thaw cycles. |
Flow Cytometry (1-2ug/million cells); Immunofluorescence (1-2ug/ml); Western Blot (1-2ug/ml); Immunohistochemistry (Frozen & formalin-fixed) (1-2ug/ml for 30 min at RT)(Staining of formalin-fixed tissues requires heating tissue sections in 10mM Tris with 1mM EDTA, pH 9.0, for 45 min at 95°C followed by cooling at RT for 20 minutes);
For Research Use Only. Not for use in diagnostic/therapeutics procedures.
Subcellular location: | Cytoplasm |
Post transnational modification: | Phosphorylation at Ser-44 occurs in a growth- and stress-dependent fashion in skin keratinocytes, it has no effect on filament organization. |
Tissue Specificity: | Expressed in the outer root sheath and medulla region of hair follicle specifically from eyebrow and beard, digital pulp, nail matrix and nail bed epithelium, mucosal stratified squamous epithelia and in basal cells of oral epithelium, palmoplantar epidermis and sweat and mammary glands. Also expressed in myoepithelium of prostate, basal layer of urinary bladder, cambial cells of sebaceous gland and in exocervix (at protein level). |
BioGrid: | 110070. 42 interactions. |
There are currently no product reviews
|