Monoclonal Antibody to Desmoglein 3 (Clone: ABM4A31)

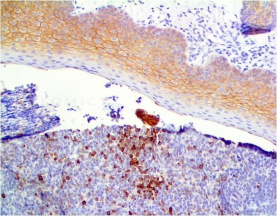
Fig-1 : Immunohistochemical analysis of Desmoglein 3 in human tonsil tissue using Desmoglein 3 antibody (Clone: ABM4A31) at 1 µg/ml.
Roll over image to zoom in
Shipping Info:
Order now and get it on Tuesday October 21, 2025
Same day delivery FREE on San Diego area orders placed by 1.00 PM
Format : | Purified |
Amount : | 100 µg |
Isotype : | Mouse IgG2b Kappa |
Purification : | Protein G Chromatography |
Content : | 25 µg in 50 µl/100 µg in 200 µl PBS containing 0.05% BSA and 0.05% sodium azide. Sodium azide is highly toxic. |
Storage condition : | Store the antibody at 4°C, stable for 6 months. For long-term storage, store at -20°C. Avoid repeated freeze and thaw cycles. |
DSG3 (Desmoglein 3) is a calcium-binding transmembrane glycoprotein component of desmosomes, conferring strong cell-cell adhesion. Desmosomes are button-like points of intercellular contact that allow the attachment of cytoskeletal elements to the plasma membrane at sites of cell-cell adhesion. DSG3 is expressed in basal and immediate suprabasal layers of skin. To maintain cell-cell adhesion DSG3 interacts with other desmosomal proteins, such as plakoglobin. Plakoglobin is closely related to Beta-catenin, which is a well-known downstream effector molecule in the canonical Wnt signaling pathway.DSG3 also promotes cancer cell growth and invasion through a plakoglobin-mediated signaling pathway.
Immunohistochemical analysis: 1 µg/ml
For Research Use Only. Not for use in diagnostic/therapeutics procedures.
Subcellular location: | Cell membrane, Cell junction |
Tissue Specificity: | Epidermis, tongue, tonsil, esophagus and carcinomas. |
BioGrid: | 108164. 5 interactions. |
There are currently no product reviews
|