Monoclonal Antibody to Human/Mouse TLR2 (Clone : TL2.3)(Discontinued)

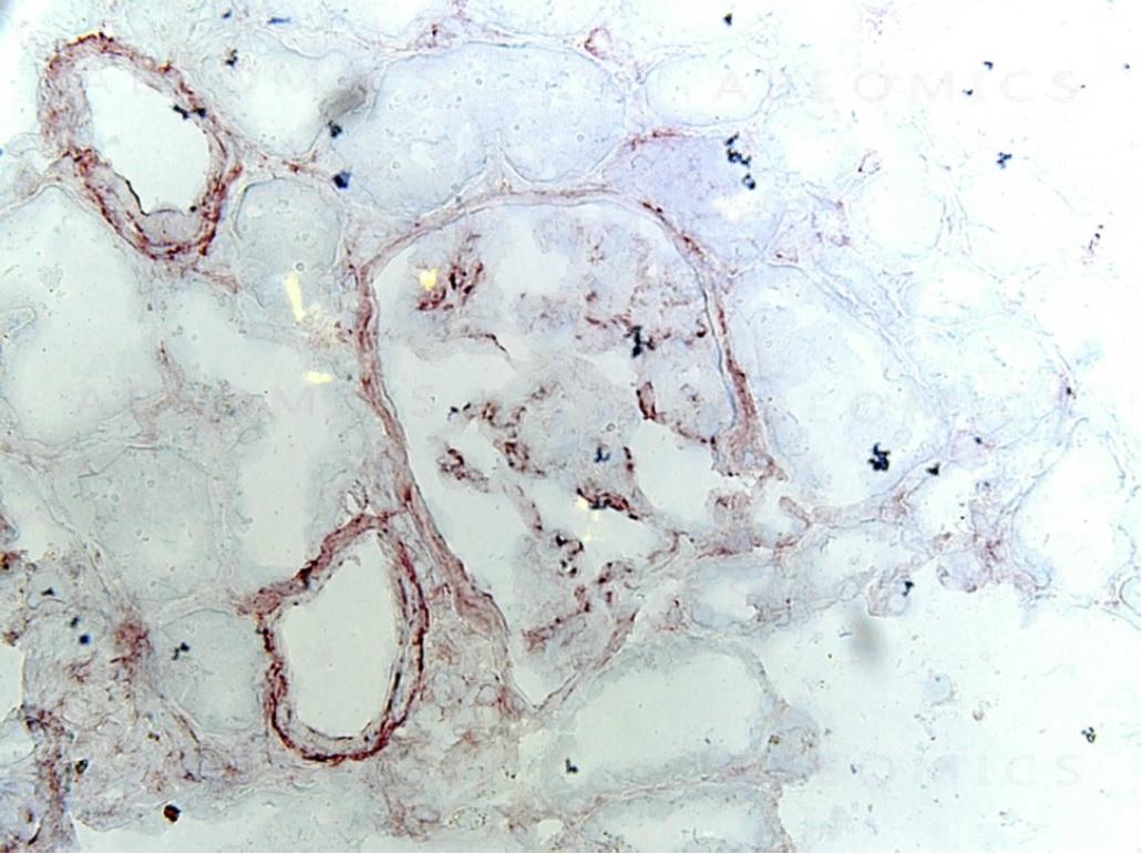
Figure-1: Immunohistochemical analysis of Human/Mouse TLR2 (Clone : TL2.3) in human Kidney tissue by using 1:50 dilution of anti-TLR2 antibody.
Roll over image to zoom in

Shipping Info:
For estimated delivery dates, please contact us at [email protected]
Format : | Purified |
Amount : | 500 µg |
Isotype : | Mouse IgG2a |
Content : | 0.5 mg, 0.2 µm filtered antibody solution in PBS, containing 0.1% bovine serum albumin |
Storage condition : | Product should be stored at 4 °C. Under recommended storage conditions, product is stable for one year. |
Toll-like receptors (TLR) are highly conserved throughout evolution and have been implicated in the innate defense to many pathogens. In Drosophila, toll is required for the anti-fungal response, while the related 18-wheeler is involved in antibacterial defenses. In mammals, TLR identified as type I transmembrane signaling receptors with pattern recognition capabilities, have been implicated in the innate host defense to pathogens. TLR2 has been identified as a receptor that is central to the innate immune response to lipoproteins of Gram-negative bacteria, several whole Gram-positive bacteria, as well as a receptor for peptidoglycan and lipoteichoic acid and other bacterial cell membrane products. A functional interaction between TLR2 and TLR6 in the cellular response to various bacterial products has been discovered. The currently accepted paradigm regards TLR2 as an essential receptor for many eubacterial cell wall components, including lipoproteins and peptidoglycan. Bacterial species as diverse as mycobacteria, spirochetes, mycoplasma, Staphylococcus aureus, and Streptococcus pneumoniae have all been shown to mediate cellular activation via TLR2 (CD282). The monoclonal antibody 10-3511 is specific for human TLR2 (CD282). TL2.3 is useful for studies on the role of TLR2 as a pattern recognition receptor in microbial products induced cytokine production by TLR2 bearing cells such as human peripheral blood mononuclear cells. The monoclonal antibody TL23 is cross reactive with canine TLR2.
Immunohistochemical analysis- 1:50-1:100 dilution
For Research Use Only. Not for use in diagnostic/therapeutics procedures.
Subcellular location: | Membrane, Cytoplasmic vesicle, Membrane raft |
Post transnational modification: | Glycosylation of Asn-442 is critical for secretion of the N-terminal ectodomain of TLR2. |
Tissue Specificity: | Highly expressed in peripheral blood leukocytes, in particular in monocytes, in bone marrow, lymph node and in spleen. Also detected in lung and in fetal liver. Levels are low in other tissues. |
BioGrid: | 112952. 27 interactions. |
There are currently no product reviews
|