Monoclonal Antibody to Kappa Light Chain (B-Cell Marker)(HP6053 + L1C1)

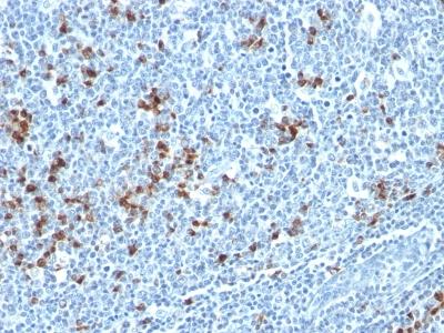
Formalin-fixed, paraffin-embedded human Tonsil stained with Kappa Light Chain Monoclonal Antibody (HP6053 + L1C1).
Roll over image to zoom in
Shipping Info:
For estimated delivery dates, please contact us at [email protected]
Format : | Purified |
Amount : | 100 µg |
Isotype : | Mouse IgG1, kappa + Mouse IgG1, kappa |
Purification : | Affinity Chromatography |
Content : | 100 µg in 500 µl PBS containing 0.05% BSA and 0.05% sodium azide. Sodium azide is highly toxic. |
Storage condition : | Store the antibody at 4°C; stable for 6 months. For long-term storage; store at -20°C. Avoid repeated freeze and thaw cycles. |
Gene : | IGKV1D-16 |
Uniprot ID : | P01601 |
Alternative Name : | IGKV1D-16 |
Immunogen Information : | Purified human Ig kappa chain (HP6053) & Human B-Lymphoma Cells (L1C1) |
Western Blot (1-2ug/ml); Immunohistochemistry (Formalin-fixed) (1-2ug/ml for 30 min at RT)(Staining of formalin-fixed tissues requires heating tissue sections in 10mM Tris with 1mM EDTA, pH 9.0, for 45 min at 95°C followed by cooling at RT for 20 minutes);
For Research Use Only. Not for use in diagnostic/therapeutics procedures.
Subcellular location: | Secreted, Cell membrane |
There are currently no product reviews
|