Monoclonal Antibody to Prolactin Receptor (hPRL-Receptor)(Clone : SPM213)

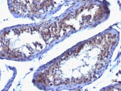
Formalin-fixed, paraffin-embedded human Testicular Carcinoma stained with Prolactin Receptor Monoclonal Antibody (SPM213).
Roll over image to zoom in
Shipping Info:
For estimated delivery dates, please contact us at [email protected]
Format : | Purified |
Amount : | 100 µg |
Isotype : | Mouse IgG1, kappa |
Purification : | Affinity Chromatography |
Content : | 100 µg in 500 µl PBS containing 0.05% BSA and 0.05% sodium azide. Sodium azide is highly toxic. |
Storage condition : | Store the antibody at 4°C; stable for 6 months. For long-term storage; store at -20°C. Avoid repeated freeze and thaw cycles. |
Flow Cytometry (0.5-1ug/million cells); Immunofluorescence (0.5-1ug/ml); ,Immunohistology (Formalin-fixed) (0.5-1ug/ml for 30 minutes at RT),(Staining of formalin/paraffin tissues requires digestion of tissue sections with pepsin at 1mg/ml Tris-HCl, pH 2.0 for 15 min at RT or 10 min at 37C.),
For Research Use Only. Not for use in diagnostic/therapeutics procedures.
Subcellular location: | Secreted |
Tissue Specificity: | Expressed in breast, placenta, kidney, liver and pancreas. |
BioGrid: | 111603. 13 interactions. |
There are currently no product reviews
|