Monoclonal Antibody to TGF-alpha (Transforming Growth Factor alpha)(Clone : MF9)

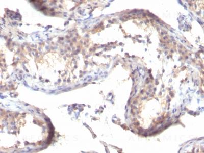
Formalin-fixed, paraffin-embedded human Testicular Carcinoma Stained with TGF alpha Monoclonal Antibody (MF9)
Roll over image to zoom in
Shipping Info:
For estimated delivery dates, please contact us at [email protected]
Format : | Purified |
Amount : | 100 µg |
Isotype : | Mouse IgG1, kappa |
Purification : | Affinity Chromatography |
Content : | 100 µg in 500 µl PBS containing 0.05% BSA and 0.05% sodium azide. Sodium azide is highly toxic. |
Storage condition : | Store the antibody at 4°C; stable for 6 months. For long-term storage; store at -20°C. Avoid repeated freeze and thaw cycles. |
This antibody reacts with the C-terminus of TGF alpha and shows no cross-reaction with EGF and the neuropeptide synenkephalin. The staining with Ab-1 is completely blocked by the peptide used for raising this antibody. TGF (aa50) is a growth factor with 33% homology to EGF, binds to EGFR, activates tyrosine phosphorylation of the receptor, and stimulates cell proliferation. It plays a role in tumor initiation by inducing the reversible transformed phenotype.
ELISA (Use Ab at 2-4ug/ml for coating) (Order Ab without BSA); Immunofluorescence (1-2ug/ml); Immunohistochemistry (Formalin-fixed) (2-4ug/ml for 30 min at RT)(Staining of formalin-fixed tissues requires heating tissue sections in 10mM Tris with 1mM EDTA, pH 9.0, for 45 min at 95°C followed by cooling at RT for 20 minutes);
For Research Use Only. Not for use in diagnostic/therapeutics procedures.
Subcellular location: | Cell membrane |
Tissue Specificity: | Isoform 1, isoform 3 and isoform 4 are expressed in keratinocytes and tumor-derived cell lines. |
BioGrid: | 112897. 68 interactions. |
There are currently no product reviews
|