Mouse Monoclonal Antibody to CEA(Clone: Col-1)(Discontinued)
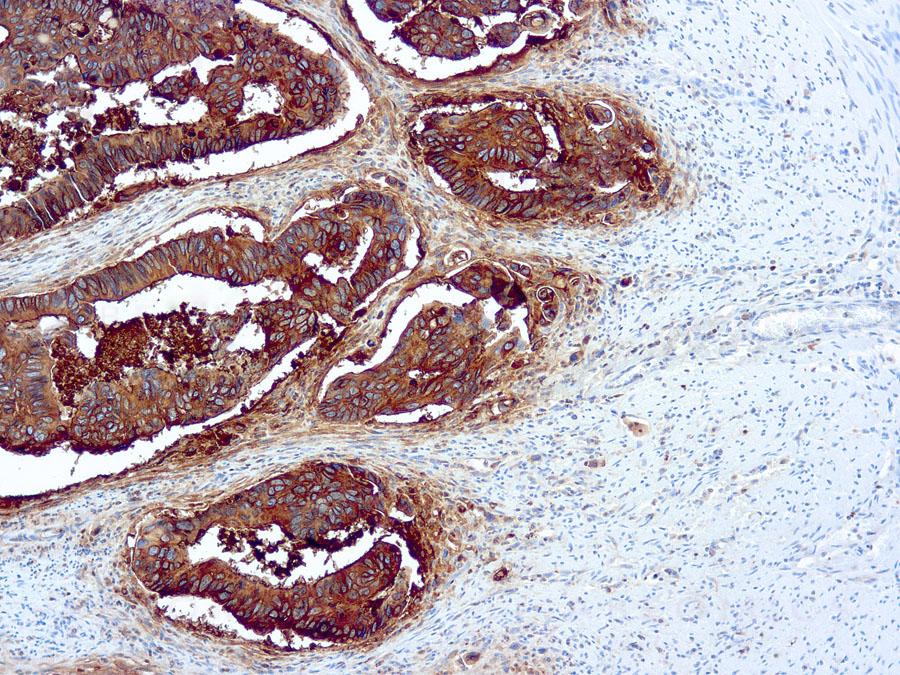
Figure 1 : Formalin fixed paraffin embedded human colon stained with CEA antibody ( 10-11504).
Roll over image to zoom in
Shipping Info:
For estimated delivery dates, please contact us at [email protected]
| Format : | Ascites |
| Amount : | 0.5 ml |
| Isotype : | Mouse IgG2a, Kappa |
| Content : | This antibody is supplied as ascites fluid containing sodium azide as preservative. |
| Storage condition : | Store at 2-8°C. |
This antibody is a member of a family of complex antigens, which also includes non-specific cross-reacting antigens (NCA). This antibody stains specific regions of CEA. It reacts with colorectal adenocarcinomas but does not show any staining with polymorphonuclear neutrophils and erythrocytes.
IHC : 1:75-1:100
For Research Use Only. Not for use in diagnostic/therapeutics procedures.
| Subcellular location: | Cell membrane, Apical cell membrane, Cell surface |
| Post transnational modification: | Complex immunoreactive glycoprotein with a MW of 180 kDa comprising 60% carbohydrate. |
| Tissue Specificity: | Expressed in columnar epithelial and goblet cells of the colon (at protein level) (PubMed:10436421). Found in adenocarcinomas of endodermally derived digestive system epithelium and fetal colon. |
| BioGrid: | 107478. 6 interactions. |
|
There are currently no product reviews
|










![PE-Cy5 Conjugated Anti-CD34 / Mucosialin Monoclonal Antibody (Clone:4H11[APG]) PE-Cy5 Conjugated Anti-CD34 / Mucosialin Monoclonal Antibody (Clone:4H11[APG])](https://media.abeomics.com/images/30-1185PE-Cy5/1.jpg)









.png)














