Mouse Monoclonal Antibody to Desmin(Clone: D33)(Discontinued)

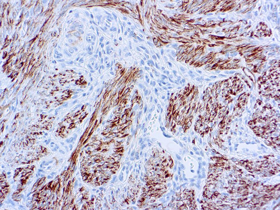
Figure 1 : Formalin fixed paraffin embedded human leiomyoma stained with Desmin antibody ( 10-11563).
Roll over image to zoom in

Shipping Info:
For estimated delivery dates, please contact us at [email protected]
Format : | T.C. Sup. |
Amount : | 0.5 ml |
Isotype : | Mouse IgG1, Kappa |
Content : | This antibody is supplied as tissue culture supernatant containing sodium azide as preservative. |
Storage condition : | Store at 2-8°C. |
This antibody reacts with desmin protein of 53 kDa. Both striated as well as smooth muscle cells stain well with this antibody. The antibody shows a broad interspecific cross-reactivity, reacting with human.
IHC : 1:20-1:40
For Research Use Only. Not for use in diagnostic/therapeutics procedures.
Subcellular location: | Cytoplasm, Cytoplasm, Cell membrane, Nucleus |
Post transnational modification: | Phosphorylation at Ser-7, Ser-28 and Ser-32 by CDK1, phosphorylation at Ser-60 by AURKB and phosphorylation at Thr-76 by ROCK1 contribute to efficient separation of desmin intermediate filaments during mitosis. |
BioGrid: | 108038. 47 interactions. |
There are currently no product reviews
|