Mouse Monoclonal Antibody to HEP PAR 1(Clone: OCH1E5)(Discontinued)

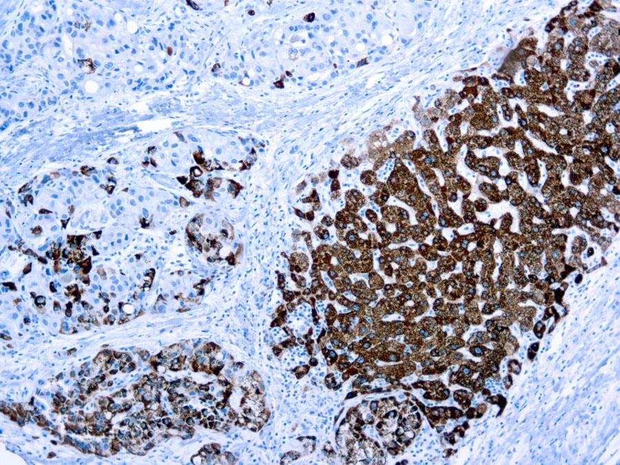
Figure 1 : Formalin fixed paraffin embedded liver stained with Hepatocyte Specific Antigen antibody ( 10-11530).
Roll over image to zoom in

Shipping Info:
For estimated delivery dates, please contact us at [email protected]
Format : | T.C. Sup. |
Amount : | 0.5 ml |
Isotype : | Mouse IgG1 |
Content : | This antibody is supplied as tissue culture supernatant containing sodium azide as preservative. |
Storage condition : | Store at 2-8°C. |
Immunogen Information : | Human liver fixed in formalin. |
Hepatoblastoma is the most common primary tumor of the liver in children. The use of specific hepatocyte markers and also of fetoprotein or carcinoembryonic antigen are useful for the identification of normal and malignant fetal hepatocytes. This antibody recognizes an uncharacterized antigen present in both adults and fetal normal hepatocytes to produce a distinct granular cytoplasmic staining. This antibody stains majority of hepatocellular carcinomas.
IHC : 1:50-1:200
For Research Use Only. Not for use in diagnostic/therapeutics procedures.
There are currently no product reviews
|