Mouse Monoclonal Antibody to HLA-DR, DP, DQ & DR(Clone: CR3/43)(Discontinued)

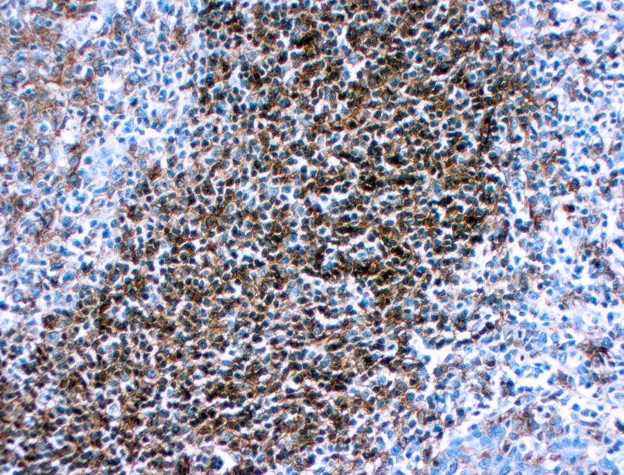
Figure 1 : Formalin fixed paraffin embedded human tonsil stained with HLA-DR antibody ( 10-11509).
Roll over image to zoom in

Shipping Info:
For estimated delivery dates, please contact us at [email protected]
Format : | T.C. Sup. |
Amount : | 0.5 ml |
Isotype : | Mouse IgG1, Kappa |
Content : | This product is supplied as a tissue culture supernatant and contains sodium azide as a preservative. |
Storage condition : | Store at 2-8°C. |
Gene : | HLA-DPB1, HLA-DQB1, HLA-DRB1 |
Gene ID : | 3115, 3119, 3123 |
Uniprot ID : | P04440, P01920, P01911 |
Alternative Name : | HLA class II histocompatibility antigen, DP(W4) beta chain, MHC class II antigen DPB1, HLA-DP1B, MHC class II antigen DQB1, HLA-DQB, DW2.2/DR2.2, MHC class II antigen DRB1*15, HLA-DRB2 |
Immunogen Information : | Tonsil cells |
This antibody reacts with the beta chain of all products of the gene sub regions DP, DQ, and DR. It stains B cells, interdigitating reticulum cells, Langerhans cells and many macrophages. This antibody does not react with normal T cell and polymorphs but stains activated T cells.
IHC : 1:25-1:50
For Research Use Only. Not for use in diagnostic/therapeutics procedures.
There are currently no product reviews
|