Mouse Monoclonal Antibody to Ki67(Clone :BS4) (Discontinued)

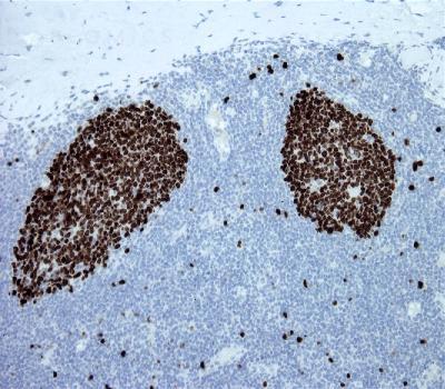
Figure-1: Tonsil section has been stained using Ki67 antibody (Clone: BS4) with 1:200 dilution. Majority of the germinal center B cells have strong nuclear label.
Roll over image to zoom in

Shipping Info:
For estimated delivery dates, please contact us at [email protected]
Amount : | 0.5 ml |
Isotype : | Mouse IgG2b |
Content : | TRIS with 0.03% sodium azide, pH7.2 |
Storage condition : | Store at 4°C |
Ki67, also known as MKI67, is aprototypic cell cycle related nuclear protein, expressed by proliferating cells in all phases of the active cell cycle (G1, S, G2 and M phase). It is absent in resting (G0) cells. Ki67 antibodies are useful in establishing the cell growing fraction in neoplasms (immunohistochemically quantified by determining the number of Ki67 positive cells among the total number of resting cells = Ki67 index). In neoplastic tissues the prognostic value is comparable to the tritiated thymidine labelling index. The correlation between low Ki67 index and histologically low grade tumours is strong. Ki67 is routinely used as a neuronal marker of cell cycling and proliferation
Immunohistochemical Analysis :-1:200
For Research Use Only. Not for use in diagnostic/therapeutics procedures.
Subcellular location: | Chromosome, Nucleus, Nucleus |
Post transnational modification: | Phosphorylated. Hyperphosphorylated in mitosis (PubMed:10502411, PubMed:10653604). Hyperphosphorylated form does not bind DNA. |
Tissue Specificity: | Mainly present in proliferating cells (at protein level). |
BioGrid: | 110434. 63 interactions. |
There are currently no product reviews
|