Mouse Monoclonal Antibody to MyoD1(Clone: 5.2f)(Discontinued)

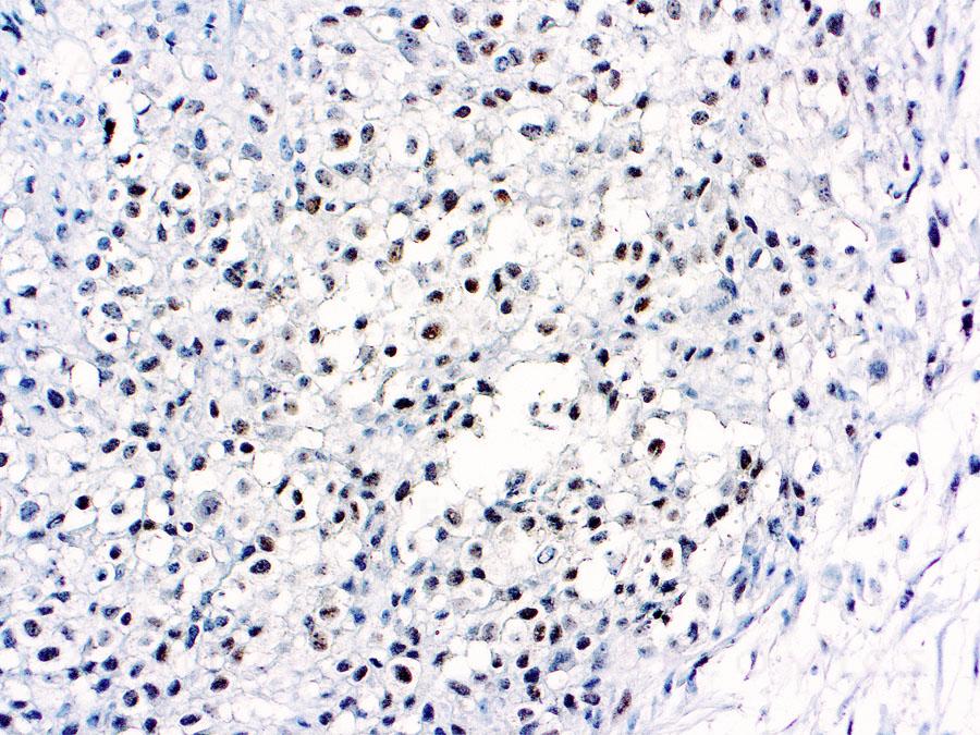
Figure 1 : Formalin fixed paraffin embedded rhabdomyosarcoma stained with Myo D1 antibody( 10-11526).
Roll over image to zoom in

Shipping Info:
For estimated delivery dates, please contact us at [email protected]
Format : | Purified |
Amount : | 0.5 ml |
Isotype : | Mouse IgG2a |
Content : | This antibody is supplied as purified immunoglobulin fraction containing sodium azide as preservative. |
Storage condition : | Store at 2-8°C. |
This antibody is specific to a 45 kDa protein, which is identified as MyoD1. This antibody is specific to an epitope of amino acid 3-56 in the N-terminus of mouse MyoD1. This antibody does not react with myogenin, Myf5 or Myf6. MyoD1 stains the nuclei of myoblasts in developing muscle tissues. MyoD1 is not detected in normal adult tissue but is expressed strongly in the tumor cell nuclei of rhabdomyosarcomas.
IHC : 1:25-1:50
For Research Use Only. Not for use in diagnostic/therapeutics procedures.
Subcellular location: | Nucleus |
Post transnational modification: | Methylation at Lys-104 by EHMT2/G9a inhibits myogenic activity. |
BioGrid: | 110737. 69 interactions. |
There are currently no product reviews
|