Mouse Monoclonal Antibody to p53(Clone: DO7)(Discontinued)

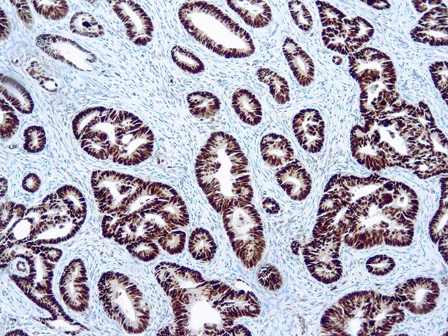
Figure 1 : Formalin fixed paraffin embedded colon carcinoma stained with p53 antibody ( 10-11513).
Roll over image to zoom in

Shipping Info:
For estimated delivery dates, please contact us at [email protected]
Format : | Purified |
Amount : | 0.5 ml |
Isotype : | Mouse IgG2b, Kappa |
Content : | This antibody is supplied as purified immunoglobulin and contains sodium azide as preservative. |
Storage condition : | Store at 2-8°C. |
This antibody reacts with wild as well as mutant types of P53 protein. It recognizes an epitope in the N-terminus of p53 protein, known to reside between amino acids 35 to 45. This antibody can be demonstrated in 22-76% of the colon, stomach, bladder, breast, lung and testes cancers.
IHC: 1:25-1:100
For Research Use Only. Not for use in diagnostic/therapeutics procedures.
Subcellular location: | Cytoplasm |
Post transnational modification: | Sumoylated with SUMO1. Sumoylated at Lys-386 by UBC9. |
Tissue Specificity: | Ubiquitous. Isoforms are expressed in a wide range of normal tissues but in a tissue-dependent manner. Isoform 2 is expressed in most normal tissues but is not detected in brain, lung, prostate, muscle, fetal brain, spinal cord and fetal liver. Isoform 3 is expressed in most normal tissues but is not detected in lung, spleen, testis, fetal brain, spinal cord and fetal liver. Isoform 7 is expressed in most normal tissues but is not detected in prostate, uterus, skeletal muscle and breast. Isoform 8 is detected only in colon, bone marrow, testis, fetal brain and intestine. Isoform 9 is expressed in most normal tissues but is not detected in brain, heart, lung, fetal liver, salivary gland, breast or intestine. |
BioGrid: | 113010. 1093 interactions. |
There are currently no product reviews
|