Mouse Monoclonal Antibody to Somatostatin(Clone :BS16) (Discontinued)

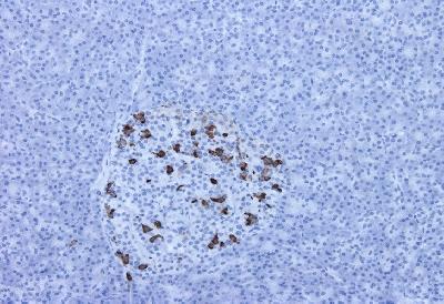
Figure-1: Delta cells of Langerhans islets of pancreas (Figure-1 and Figure-2). Pancreas tissue sections have stained with somatostatin (Clone: BS16) antibody using 1:200 dilution and pH9 tris-EDTA pretreatment. Somatostatin producing delta cells have strong cytoplasmic label.
Roll over image to zoom in

Shipping Info:
For estimated delivery dates, please contact us at [email protected]
Amount : | 0.5 ml |
Isotype : | Mouse IgG1 |
Content : | TRIS with 0.03% sodium azide, pH7.2 |
Storage condition : | Store at 4°C |
The preproprotein encoded by this gene. Somatostatin is expressed throughout the body and inhibits the release of numerous secondary hormones by binding to high-affinity G-protein-coupled somatostatin receptors. This hormone is an important regulator of the endocrine system through its interactions with pituitary growth hormone, thyroid stimulating hormone, and most hormones of the gastrointestinal tract. Somatostatin also affects rates of neurotransmission in the central nervous system and proliferation of both normal and tumorigenic cells.
Immunohistochemical Analysis :-1:200
For Research Use Only. Not for use in diagnostic/therapeutics procedures.
Subcellular location: | Secreted |
Post transnational modification: | Phosphorylated by the SAPK2 pathway at high intracellular glucose concentration. Phosphorylated by HIPK2 on Ser-269 upon glucose accumulation. This phosphorylation mediates subnuclear localization shifting. Phosphorylation by PASK may lead to translocation into the cytosol. |
Tissue Specificity: | Duodenum and pancreas (Langerhans islet beta cells and small subsets of endocrine non-beta-cells, at low levels in acinar cells). |
BioGrid: | 112628. 2 interactions. |
There are currently no product reviews
|