Mouse Monoclonal Antibody to SUMO1 (Clone: 66AT1273.94)(Discontinued)

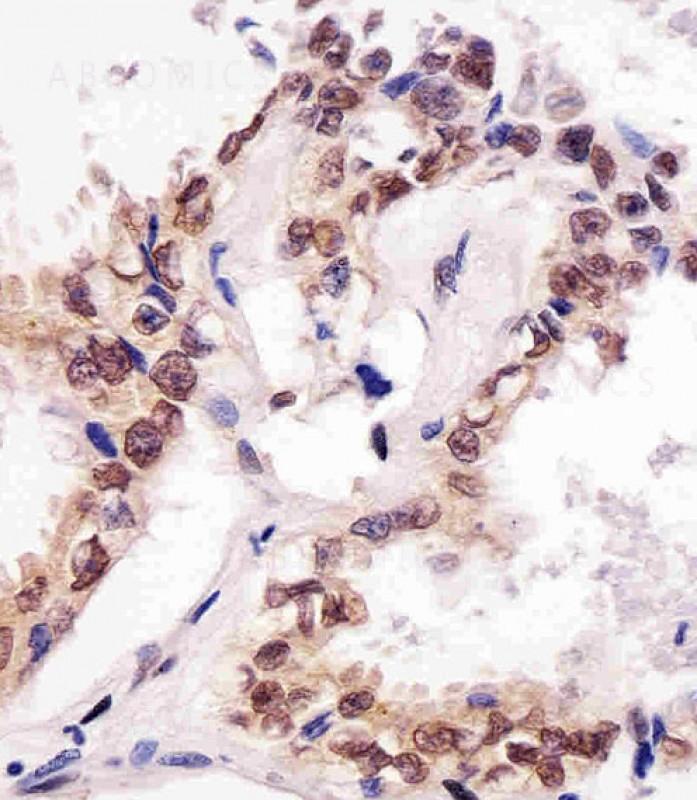
Figure 1: Staining of SUMO1 antibody (10-6519) in human lung adenocarcinoma tissue sections by Immunohistochemistry (IHC-P - paraformaldehyde-fixed, paraffin-embedded sections). Tissue was fixed with formaldehyde and blocked with 3% BSA for 0. 5 hour at room temperature; antigen retrieval was by heat mediation with a citrate buffer (pH6). Samples were incubated with primary antibody (1/25) for 1 hours at 37°C. A undiluted biotinylated goat polyvalent antibody was used as the secondary antibody.
Roll over image to zoom in

Shipping Info:
For estimated delivery dates, please contact us at [email protected]
Format : | Purified |
Amount : | 400 µl |
Isotype : | Mouse IgG1 |
Purification : | Protein G Chromatography |
Content : | Purified monoclonal antibody supplied in PBS with 0.09% (W/V) sodium azide. |
Storage condition : | Maintain refrigerated at 2-8°C for up to 2 weeks. For long term store at -20°C in small aliquots to prevent freeze-thaw cycles. |
IHC-P~1:25|| FACS~1:25|| WB~1:100~4000
For Research Use Only. Not for use in diagnostic/therapeutics procedures.
Subcellular location: | Nucleus membrane, Nucleus speckle, Cytoplasm, Nucleus, Cell membrane, Nucleus |
Post transnational modification: | Polymeric SUMO1 chains undergo polyubiquitination by RNF4. |
BioGrid: | 113188. 169 interactions. |
There are currently no product reviews
|